Management strategy after diagnosis of Abernethy malformation: a case report
- PMID: 22742057
- PMCID: PMC3419678
- DOI: 10.1186/1752-1947-6-167
Management strategy after diagnosis of Abernethy malformation: a case report
Abstract
Introduction: The Abernethy malformation is a rare anomaly with a widely variable clinical presentation. Many diagnostic dilemmas have been reported. Nowadays, with the evolution of medical imaging, diagnosis can be made more easily, but management of patients with an Abernethy malformation is still open for discussion.
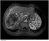
Case presentation: In this case study, we describe a 34-year-old Caucasian man who presented with a large hepatocellular carcinoma in the presence of an Abernethy malformation, which was complicated by the development of pulmonary arterial hypertension.
Conclusion: This case underlines the importance of regular examination of patients with an Abernethy malformation, even in older patients, to prevent complications and to detect liver lesions at an early stage.
Figures
References
-
- Witters P, Maleux G, George C, Delcroix M, Hoffman I, Gewillig M, Verslype C, Monbaliu D, Aerts R, Pirenne J, Van Steenbergen W, Nevens F, Fevery J, Cassiman D. Congenital veno-venous malformations of the liver: widely variable clinical presentations. J Gastroenterol Hepatol. 2008;23:e390–e394. doi: 10.1111/j.1440-1746.2007.05156.x. - DOI - PubMed
-
- Kumar A, Kumar J, Aggarwal R, Srivastava S. Abernethy malformation with portal vein aneurysm. Diagn Interv Radiol. 2008;14:143–146. - PubMed
LinkOut - more resources
Full Text Sources
