Primary pulmonary choriocarcinoma in a male
- PMID: 22753160
- PMCID: PMC3028932
- DOI: 10.1136/bcr.02.2010.2712
Primary pulmonary choriocarcinoma in a male
Abstract
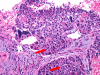
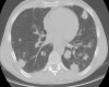
The authors report a case of a 48-year-old male smoker who presented with respiratory distress and constitutional symptoms along with gynaecomastia and multiple pulmonary nodules. Based on normal physical and ultrasound findings of the testes, presence of markedly elevated serum β human chorionic gonadotrophin (HCG) and biopsy findings of the lung a diagnosis of primary pulmonary choriocarcinoma was made.
Conflict of interest statement
Figures







References
-
- Collins DH, Pugh RC. Classification and frequency of testicular tumours. Br J Urol 1964;36(Suppl):1–11 - PubMed
-
- Bokemeyer C, Nichols CR, Droz JP, et al. Extragonadal germ cell tumors of the mediastinum and retroperitoneum: results from an international analysis. J Clin Oncol 2002;20:1864–73 - PubMed
-
- Fine G, Smith RW, Jr, Pachter MR. Primary extragenital choriocarcinoma in the male subject. Case report and review of the literature. Am J Med 1962;32:776–94 - PubMed
-
- Ikura Y, Inoue T, Tsukuda H, et al. Primary choriocarcinoma and human chorionic gonadotrophin-producing giant cell carcinoma of the lung: are they independent entities? Histopathology 2000;36:17–25 - PubMed
-
- Tsai JR, Chong IW, Hung JY, et al. Use of urine pregnancy test for rapid diagnosis of primary pulmonary choriocarcinoma in a man. Chest 2002;121:996–8 - PubMed
Publication types
MeSH terms
Substances
LinkOut - more resources
Full Text Sources
Medical