Middle cranial fossa cystic schwannoma
- PMID: 22778464
- PMCID: PMC3417026
- DOI: 10.1136/bcr.12.2011.5356
Middle cranial fossa cystic schwannoma
Abstract
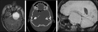
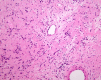
The authors present the unusual case of a 37-year-old man, with a history of hepatitis C, presenting with a 3 year history of progressive trigeminal, facial and vestibular nerve defects. Intracranial imaging demonstrated a cystic middle and posterior fossa lesion, that was ultimately diagnosed as a cystic trigeminal schwannoma. Due to the uncertainties of diagnosis he was managed in two stages with an open biopsy and then a subsequent partial resection. Surveillance of the tumour remnant is planned. The rare nature of this diagnosis is discussed, along with the more common findings in intracranial schwannoma, and the wide differential to be considered. Briefly, the authors describe the surgical option for a complex multi-fossa schwannoma and the importance of the multi-disciplinary team in the diagnosis and management of such patients.
Conflict of interest statement
Figures



References
-
- Garen PD, Harper CG, Teo C, et al. Cystic schwannoma of the trochlear nerve mimicking a brain-stem tumor. Case report. J Neurosurg 1987;67:928–30. - PubMed
-
- Colreavy MP, Lacy PD, Hughes J, et al. Head and neck schwannomas–a 10 year review. J Laryngol Otol 2000;114:119–24. - PubMed
-
- Hasegawa T, Kida Y, Yoshimoto M, et al. Trigeminal schwannomas: results of gamma knife surgery in 37 cases. J Neurosurg 2007;106:18–23. - PubMed
-
- Fundová P, Charabi S, Tos M, et al. Cystic vestibular schwannoma: surgical outcome. J Laryngol Otol 2000;114:935–9. - PubMed
-
- Yoshida K, Kawase T. Trigeminal neurinomas extending into multiple fossae: surgical methods and review of the literature. J Neurosurg 1999;91:202–11. - PubMed
Publication types
MeSH terms
LinkOut - more resources
Full Text Sources