Orbital IgG4-Related Disease: Clinical Features and Diagnosis
- PMID: 22778989
- PMCID: PMC3388428
- DOI: 10.5402/2012/412896
Orbital IgG4-Related Disease: Clinical Features and Diagnosis
Abstract
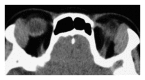
Orbital IgG4-related disease, which can occur in adults of any age, is characterized by IgG4-positive lymphoplasmacytic infiltrations in ocular adnexal tissues. The signs and symptoms include chronic noninflammatory lid swelling and proptosis. Patients often have a history of allergic disease and elevated serum levels of IgG4 and IgE as well as hypergammaglobulinemia. Orbital IgG4-related disease must be differentiated from idiopathic orbital inflammation and ocular adnexal marginal zone B-cell lymphoma to ensure appropriate and effective treatment. Systemic steroid therapy decreases the size of the lesions, but relapse often occurs when systemic steroid therapy is discontinued.
Figures




References
-
- Yamamoto M, Takahashi H, Sugai S, Imai K. Clinical and pathological characteristics of Mikulicz’s disease. Autoimmunity Reviews. 2005;4(4):195–200. - PubMed
-
- Takahira M, Kawano M, Zen Y, Minato H, Yamada K, Sugiyama K. IgG4-related chronic sclerosing dacryoadenitis. Archives of Ophthalmology. 2007;125(11):1575–1578. - PubMed
-
- Kubota T, Moritani S, Katayama M, Terasaki H. Ocular adnexal IgG4-related lymphoplasmacytic infiltrative disorder. Archives of Ophthalmology. 2010;128(5):577–584. - PubMed
-
- Plaza JA, Garrity JA, Dogan A, Ananthamurthy A, Witzig TE, Salomão DR. Orbital inflammation with IgG4-positive plasma cells: manifestation of IgG4 systemic disease. Archives of Ophthalmology. 2011;129(4):421–428. - PubMed
-
- Sato Y, Ohshima KI, Ichimura K, et al. Ocular adnexal IgG4-related disease has uniform clinicopathology. Pathology International. 2008;58(8):465–470. - PubMed
LinkOut - more resources
Full Text Sources