Placental and vascular adaptations to exercise training before and during pregnancy in the rat
- PMID: 22814667
- PMCID: PMC3468416
- DOI: 10.1152/ajpregu.00253.2012
Placental and vascular adaptations to exercise training before and during pregnancy in the rat
Abstract
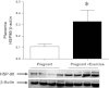
Although exercise during pregnancy is generally recommended and thought to be beneficial to mother and fetus, the nature of the adaptations to exercise during pregnancy and how they may be beneficial remain poorly understood. Recent studies suggest that exercise may stimulate expression of several cytoprotective and pro-angiogenic molecules such as heat shock proteins (HSP) and vascular endothelial growth factors (VEGF). We hypothesized that exercise training during pregnancy improves angiogenic balance, increases HSP expression, and improves endothelial function. Female rats were given access to an exercise wheel for 6 wk before and during pregnancy. On day 19 of pregnancy tissues were collected and snap frozen for later analysis. Western blots were performed in skeletal muscle and placenta. HSP 27 (3.7 ± 0.36 vs. 2.2 ± 0.38; P < 0.05), HSP 60 (2.2 ± 0.73 vs. 0.49 ± 0.08; P < 0.05), and HSP 90 (0.33 ± 0.09 vs. 0.11 ± 0.02; P < 0.05) were increased in the placentas of exercise-trained rats compared with sedentary controls. In addition, exercise training increased (P < 0.05) plasma free VEGF and augmented (P < 0.05) endothelium-dependent vascular relaxation compared with nonexercise control rats. The present data indicates chronic exercise training stimulates HSP expression in the placenta and that regular exercise training increases circulating VEGF in pregnant but not in nonpregnant rats. Although the present findings suggest that exercise before and during pregnancy may promote the expression of molecules that could attenuate placental and vascular dysfunction in complicated pregnancies, further studies are needed to determine the safety and effectiveness of exercise training as a therapeutic modality in pregnancy.
Figures
References
-
- Atalay M, Oksala NKJ, Laaksonen DE, Khanna S, Nakao C, Lappalainen J, Roy S, Hanninen O, Sen CK. Exercise training modulates heat shock protein response in diabetic rats. J Appl Physiol 97: 605–611, 2004 - PubMed
-
- Bessinger RC, McMurray RG, Hackney AC. Substrate utilization and hormonal responses to moderate intensity exercise during pregnancy and after delivery. Am J Obstet Gynecol 186: 757–764, 2002 - PubMed
-
- Bonen A, Campagna PD, Gilchrist L, Beresford P. Substrate and hormonal responses during exercise classes at selected stages of pregnancy. Can J Appl Physiol 20: 440–451, 1995 - PubMed
-
- Carlberg KA, Alvin BL, Gwosdow AR. Exercise during pregnancy and maternal and fetal plasma corticosterone and androstenedione in rats. Am J Physiol Endocrinol Metab 271: E896–E902, 1996 - PubMed
Publication types
MeSH terms
Substances
Grants and funding
LinkOut - more resources
Full Text Sources
Research Materials
