A case report of an extremely rare and aggressive tumor: primary malignant pericardial mesothelioma
- PMID: 22826778
- PMCID: PMC3401149
- DOI: 10.4081/rt.2012.e21
A case report of an extremely rare and aggressive tumor: primary malignant pericardial mesothelioma
Abstract
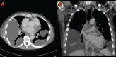
Primary pericardial malignant mesothelioma (PMPM) is extremely rare with an incidence less than 0.0022%. It comprises 0.7% of all mesothelioma cases. To date, approximately 350 cases of pericardial mesothelioma have been reported in the literature. Its typical presentation is insidious, with nonspecific signs and symptoms, and usually results in constrictive pericarditis, cardiac tamponade and congestive heart failure either by a serous effusion or by direct tumorous constriction of the heart. With the exception of several case reports, the outcome is uniformly fatal, and patients typically die within six months of diagnosis. Here we report a 72-year-old Cauca -sian male with persistent pericardial and pleural effusion. He was diagnosed with PMPM after pericardectomy. He had only one cycle of chemotherapy with cisplatin and pemetrexed. He developed acute kidney injury as result of chemotherapy. He died 1 month after diagnosis and 6 months after the first symptoms.
Keywords: medicine; oncology; primary pericardical malignant mesothelioma..
Conflict of interest statement
Conflict of interests: the authors report no conflicts of interests.
Figures




References
-
- Kralstein J, Frishman W. Malignant pericardial diseases: diagnosis and treatment. Am Heart J. 1987;113:785–90. - PubMed
-
- Warren WH. Kittle CF. Mesothelioma: Diagnosis and Management. California: Year Book Medical Publishers; 1987. The clinical manifestations and diagnosis of mesothelioma.
-
- Van De Water JM, Allen WA. Pericardial mesothelioma. Ann Thorac Surg. 1967;3:162–5. - PubMed
-
- Eren NT, Akar AR. Primary pericardial mesothelioma. Curr Treat Options Oncol. 2002;3:369–73. - PubMed
Publication types
LinkOut - more resources
Full Text Sources