OHVIRA: Uterus didelphys, blind hemivagina and ipsilateral renal agenesis: Advantage MRI
- PMID: 22870020
- PMCID: PMC3409925
- DOI: 10.4103/0974-1208.97811
OHVIRA: Uterus didelphys, blind hemivagina and ipsilateral renal agenesis: Advantage MRI
Abstract
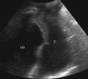
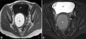
We present here a case of an uncommon complex uterine anomaly - Obstructed HemiVagina with Ipsilateral Renal Agenesis (OHVIRA), also known as Herlyn-Werner-Wunderlich syndrome in a 14-year-old girl along with sonographic (trans-abdominal and trans labial), and MRI findings. The patient underwent surgery wherein imaging findings were confirmed. An MRI has proved to be of great help in correct diagnosis avoiding surgical interventions/ laparoscopy, which were needed in past to diagnose this rare anomaly. We also discuss the development of this anomaly with the help of a relatively new theory of uro-genital development by Acien and review the literature.
Keywords: Herlyn-Werner-Wunderlich syndrome; OHVIRA syndrome; mullerian anomaly; obstructed vagina.
Conflict of interest statement
Figures







References
-
- Strassmann EO. Fertility and unification of double uterus. Fertil Steril. 1966;17:165–76. - PubMed
-
- Acien P. Incidence of Müllerian defects in fertile and infertile women. Hum Reprod. 1997;12:1372–6. - PubMed
-
- Li S, Qayyum A, Coakley FV, Hricak H. Association of renal agenesis and mullerian duct anomalies. J Comput Assist Tomogr. 2000;24:829–34. - PubMed
-
- Acién P. Embryological observations on the female genital tract. Hum Reprod. 1992;7:437–45. - PubMed
-
- Koff AK. Development of the vagina in the human fetus. Contrib Embryol. 1933;24:59–91. - PubMed
Publication types
LinkOut - more resources
Full Text Sources
Miscellaneous