Skip to main page content
U.S. flag

An official website of the United States government

Dot gov

The .gov means it’s official.
Federal government websites often end in .gov or .mil. Before sharing sensitive information, make sure you’re on a federal government site.

Https

The site is secure.
The https:// ensures that you are connecting to the official website and that any information you provide is encrypted and transmitted securely.

Access keys NCBI Homepage MyNCBI Homepage Main Content Main Navigation
. 2012 Jun 27;9(1):8.
doi: 10.1186/1559-0275-9-8.

Nm23/nucleoside diphosphate kinase-A as a potent prognostic marker in invasive pancreatic ductal carcinoma identified by proteomic analysis of laser micro-dissected formalin-fixed paraffin-embedded tissue

Affiliations

Nm23/nucleoside diphosphate kinase-A as a potent prognostic marker in invasive pancreatic ductal carcinoma identified by proteomic analysis of laser micro-dissected formalin-fixed paraffin-embedded tissue

Tatsuyuki Takadate et al. Clin Proteomics. .

Abstract

Background: Pancreatic cancer is among the most lethal malignancies worldwide. This study aimed to identify a novel prognostic biomarker, facilitating treatment selection, using mass spectrometry (MS)-based proteomic analysis with formalin-fixed paraffin-embedded (FFPE) tissue.

Results: The two groups with poor prognosis (n = 4) and with better prognosis (n = 4) had been carefully chosen among 96 resected cases of pancreatic cancer during 1998 to 2007 in Tohoku University Hospital. Although those 2 groups had adjusted background (UICC-Stage IIB, Grade2, R0, gemcitabine adjuvant), there was a significant difference in postoperative mean survival time (poor 21.0 months, better 58.1 months, P = 0.0067). Cancerous epithelial cells collected from FFPE tissue sections by laser micro-dissection (LMD) were processed for liquid chromatography-tandem mass spectrometry (LC-MS/MS). In total, 1099 unique proteins were identified and 6 proteins showed different expressions in the 2 groups by semi-quantitative comparison. Among these 6 proteins, we focused on Nm23/Nucleoside Diphosphate Kinase A (NDPK-A) and immunohistochemically confirmed its expression in the cohort of 96 cases. Kaplan-Meier analysis showed high Nm23/NDPK-A expression to correlate with significantly worse overall survival (P = 0.0103). Moreover, in the multivariate Cox regression model, Nm23/NDPK-A over-expression remained an independent predictor of poor survival with a hazard ratio of 1.97 (95% CI 1.16-3.56, P = 0.0110).

Conclusions: We identified 6 candidate prognostic markers for postoperative pancreatic cancer using FFPE tissues and immunohistochemically demonstrated high Nm23/NDPK-A expression to be a useful prognostic marker for pancreatic cancer.

PubMed Disclaimer

Figures

Figure 1
Figure 1
Patient selection for proteomic analysis.a Histological residuum R0 shows microscopically negative margins. b Unio Internationalis Contra Cancrum/Union for International Cancer Control. UICC stage IIB: Cancer has spread to nearby lymph nodes and may also have spread to adjacent tissues and organs. c Japan Pancreas Society. JPS stage 3: Cancer has not extended into the portal vein, extra-pancreatic nerve plexus, or other organs in UICC stage IIB. d Formalin-Fixed Paraffin-Embedded
Figure 2
Figure 2
Strategy for shotgun proteomic analysis and immunohistochemical confirmation.a Liquid chromatography-tandem mass spectrometry
Figure 3
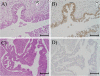
Figure 3
Immunohistochemistry for Nm23/NDPK-A in invasive pancreatic ductal carcinoma.A), B) hematoxylin-eosin staining, C) Nm23/NDPK-A immunoreactivity was detected in the cytoplasm of carcinoma cells. D) No Nm23/NDPK-A immunoreactivity was detected in carcinoma cells. Scale bar = 100 μm, original magnification, ×200
Figure 4
Figure 4
Survival analysis for Nm23/NDPK-A immunoreactivity by the Kaplan-Meier method.A) Nm23/NDPK-A positivity was significantly associated with poor overall survival (log-rank test, P = 0.0103). B) Nm23/NDPK-A positivity was significantly associated with poor disease free survival (log-rank test, P = 0.0186). The day of recurrence was unclear in 11 cases

References

    1. Jemal A, Siegel R, Ward E, Hao Y, Xu J, Thun MJ. Cancer statistics, 2009. CA Cancer J Clin. 2009;59(4):225–249. doi: 10.3322/caac.20006. - DOI - PubMed
    1. Matsuno S, Egawa S, Fukuyama S, Motoi F, Sunamura M, Isaji S, Imaizumi T, Okada S, Kato H, Suda K, Nakao A, Hiraoka T, Hosotani R, Takeda K. Pancreatic Cancer Registry in Japan: 20 years of experience. Pancreas. 2004;28(3):219–230. doi: 10.1097/00006676-200404000-00002. - DOI - PubMed
    1. Hirata K, Egawa S, Kimura Y, Nobuoka T, Oshima H, Katsuramaki T, Mizuguchi T, Furuhata T. Current status of surgery for pancreatic cancer. Dig Surg. 2007;24(2):137–147. doi: 10.1159/000102067. - DOI - PubMed
    1. Wagner M, Redaelli C, Lietz M, Seiler CA, Friess H, Buchler MW. Curative resection is the single most important factor determining outcome in patients with pancreatic adenocarcinoma. Br J Surg. 2004;91(5):586–594. doi: 10.1002/bjs.4484. - DOI - PubMed
    1. Carpelan-Holmstrom M, Nordling S, Pukkala E, Sankila R, Luttges J, Kloppel G, Haglund C. Does anyone survive pancreatic ductal adenocarcinoma? A nationwide study re-evaluating the data of the Finnish Cancer Registry. Gut. 2005;54(3):385–387. doi: 10.1136/gut.2004.047191. - DOI - PMC - PubMed