Musculoskeletal disorders in the elderly
- PMID: 22919553
- PMCID: PMC3424705
- DOI: 10.4103/2156-7514.99151
Musculoskeletal disorders in the elderly
Abstract
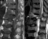
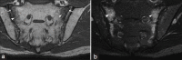
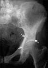
Musculoskeletal disorders are among the most common problems affecting the elderly. The resulting loss of mobility and physical independence can be particularly devastating in this population. The aim of this article is to present some of the most frequent musculoskeletal disorders of the elderly, such as fractures, osteoporosis, osteoarthritis, microcrystal disorders, infections, and tumors.
Keywords: Aged; arthritis; fracture; musculoskeletal diseases; neoplasm.
Conflict of interest statement
Figures














References
-
- Wolff JL, Starfield B, Anderson G. Prevalence, expenditures, and complications of multiple chronic conditions in the elderly. Arch Intern Med. 2002;162:2269–76. - PubMed
-
- Freemont AJ, Hoyland JA. Morphology, mechanisms and pathology of musculoskeletal ageing. J Pathol. 2007;211:252–9. - PubMed
-
- Cheong HW, Peh WC, Guglielmi G. Imaging of diseases of the axial and peripheral skeleton. Radiol Clin North Am. 2008;46:703–33. vi. - PubMed
-
- Kanis JA. Diagnosis of osteoporosis and assessment of fracture risk. Lancet. 2002;359:1929–36. - PubMed
-
- Gotis-Graham I, McGuigan L, Diamond T, Portek I, Quinn R, Sturgess A, et al. Sacral insufficiency fractures in the elderly. J Bone Joint Surg Br. 1994;76:882–6. - PubMed
LinkOut - more resources
Full Text Sources