Inflammatory pseudotumor of the head presenting with hemiparesis and aphasia
- PMID: 22937331
- PMCID: PMC3420747
- DOI: 10.1155/2011/176546
Inflammatory pseudotumor of the head presenting with hemiparesis and aphasia
Abstract
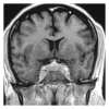
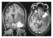
Inflammatory pseudotumor most commonly occurs in the orbit and produces orbital pseudotumor, but extension into brain parenchyma is uncommon. We report a case of inflammatory pseudotumor involving sphenoid sinus, cavernous sinus, superior orbital fissure, orbital muscle, and intracranial extension into left temporal lobe producing right hemiparesis and wernicke's aphasia. The patient improved clinically and radiologically with steroid administration. This paper provides an insight into the spectrum of involvement of inflammatory pseudotumor and the importance of early diagnosis of the benign condition.
Figures





References
-
- Narla LD, Newman B, Spottswood SS, et al. Inflammatory pseudotumor. Radiographics. 2003;23(3):719–729. - PubMed
Publication types
LinkOut - more resources
Full Text Sources