Effective Dose of CT-Guided Epidural and Periradicular Injections of the Lumbar Spine: A Retrospective Study
- PMID: 22942924
- PMCID: PMC3431593
- DOI: 10.2174/1874325001206010357
Effective Dose of CT-Guided Epidural and Periradicular Injections of the Lumbar Spine: A Retrospective Study
Abstract
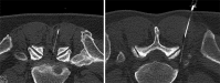
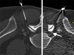
Spinal injection procedures can be performed blindly or, more accurately, with fluoroscopic or computed tomography (CT) guidance. Radiographic guidance for selective nerve root blocks and epidural injections allows an accurate needle placement, reduces the procedure time and is more secure for the patient, especially in patients with marked degenerative changes and scoliosis, resulting in a narrowing of the interlaminar space. Limiting factors remain the availability of scanners and the radiation dose. Interventional CT scan protocols in axial CT-acquisition mode for epidural and periradicular injections help to limit the radiation dose without a significant decrease of image quality. The purpose of this retrospective study was to analyze the effective radiation dosage patients are exposed during CT-guided epidural lumbar and periradicular injections. A total amount of n=1870 datasets from 18 months were analyzed after multiplying the dose length product with conversion factor k for each lumbar segment. For lumbar epidural injections (n=1286), a mean effective dose of 1.34 mSv (CI 95%, 1.30-1.38), for periradicular injections (n=584) a mean effective dose of 1.38 mSv (CI 95%, 1.32-1.44) were calculated.
Keywords: CT; Computed tomography; dose.; epidural; guidance; injections; interventions; perineural; periradicular; radiation; spinal.
Figures



References
-
- Lutze MA, Morley T, Großkurth D, Krämer J. Diskussion: Schmerztherapie an der Wirbelsäule.Ist CT-gesteuerte Injektion notwendig? Dtsch Arztebl. 1998;95(38 ):A2333–4.
-
- Theodoridis T, Krämer J. Spinal injection techniques. New York: Thieme. 2009.
-
- Friedly J, Chan L, Deyo R. Increases in lumbosacral injections in the Medicare population: 1994-2001. Spine. 2007;32:1754–60. - PubMed
LinkOut - more resources
Full Text Sources