Neuropathology of temporal lobe epilepsy
- PMID: 22957233
- PMCID: PMC3420738
- DOI: 10.1155/2012/624519
Neuropathology of temporal lobe epilepsy
Abstract
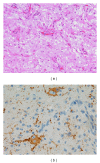
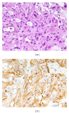
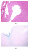
Pathologic findings in surgical resections from patients with temporal lobe epilepsy include a wide range of diagnostic possibilities that can be categorized into different groups on the basis of etiology. This paper outlines the various pathologic entities described in temporal lobe epilepsy, including some newly recognized epilepsy-associated tumors, and briefly touch on the recent classification of focal cortical dysplasia. This classification takes into account coexistent pathologic lesions in focal cortical dysplasia.
Figures














References
-
- Wiebe S. Epidemiology of temporal lobe epilepsy. Canadian Journal of Neurological Sciences. 2000;27(1):S6–S10. - PubMed
-
- Tassi L, Meroni A, Deleo F, et al. Temporal lobe epilepsy: neuropathological and clinical correlations in 243 surgically treated patients. Epileptic Disorders. 2009;11(4):281–292. - PubMed
-
- Lee MC, Kim GM, Woo YJ, et al. Pathogenic significance of neuronal migration disorders in temporal lobe epilepsy. Human Pathology. 2001;32(6):643–648. - PubMed
-
- Maher J, McLachlan RS. Febrile convulsions: is seizure duration the most important predictor of temporal lobe epilepsy? Brain. 1995;118(6):1521–1528. - PubMed
LinkOut - more resources
Full Text Sources