Natural Bagaza virus infection in game birds in southern Spain
- PMID: 22966904
- PMCID: PMC3483237
- DOI: 10.1186/1297-9716-43-65
Natural Bagaza virus infection in game birds in southern Spain
Abstract
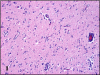
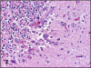
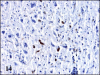
In late summer 2010 a mosquito born flavivirus not previously reported in Europe called Bagaza virus (BAGV) caused high mortality in red-legged partridges (Alectoris rufa) and ring-necked pheasants (Phasianus colchicus). We studied clinical findings, lesions and viral antigen distribution in naturally BAGV infected game birds in order to understand the apparently higher impact on red-legged partridges. The disease induced neurologic signs in the two galliform species and, to a lesser extent, in common wood pigeons (Columba palumbus). In red-legged partridges infection by BAGV caused severe haemosiderosis in the liver and spleen that was absent in pheasants and less evident in common wood pigeons. Also, BAGV antigen was present in vascular endothelium in multiple organs in red-legged partridges, and in the spleen in common wood pigeons, while in ring-necked pheasants it was only detected in neurons and glial cells in the brain. These findings indicate tropism of BAGV for endothelial cells and a severe haemolytic process in red-legged partridges in addition to the central nervous lesions that were found in all three species.
Figures















References
-
- Digoutte JP. Bagaza (BAG) strain: Dak Ar B 209. Am J Trop Med Hyg. 1978;27:376–377.
-
- Munster VJ, Baas C, Lexmond P, Waldenstrom J, Wallensten A, Fransson T, Rimmelzwaan GF, Beyer WEP, Schutten M, Olsen B, Osterhaus AD, Fouchier RA. Spatial, temporal, and species variation in prevalence of influenza A viruses in wild migratory birds. PLoS Pathog. 2007;3:e61. doi: 10.1371/journal.ppat.0030061. - DOI - PMC - PubMed
Publication types
MeSH terms
Substances
LinkOut - more resources
Full Text Sources