Dyke-Davidoff-Masson syndrome-like picture in a case of Takayasu arteritis: an enigma
- PMID: 22967682
- PMCID: PMC4543674
- DOI: 10.1136/bcr-2012-006669
Dyke-Davidoff-Masson syndrome-like picture in a case of Takayasu arteritis: an enigma
Abstract
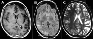
Authors describe the case of a 16-year-old girl who presented with fever, tonic-clonic seizures, unequal arm blood pressures and pulselessness in the left upper limb. On examination, there was a systolic bruit over umbilical region, a pansystolic murmur of mitral regurgitation was found. Neurological examination was normal except for an asymmetry in brain hemicircumference one side compared with the other. She has borderline intelligence (IQ 70) according to Wechsler Adult Performance Intelligence Scale. Magnetic resonance imaging (MRI) of brain revealed atrophic of left cerebral hemisphere with mildly ventricular dilatation, prominent paranasal and mastoid air cells, suggestive of Dyke-Davidoff-Masson syndrome (DDMS). Conventional angiography showed narrowed left internal carotid artery. There was also stenosed brachial artery, absent left renal artery with narrowed infrarenal abdominal aorta. The patient was put on antihypertensive drugs. We hypothesise that Takayasu arteritis and related vascular occlusion is the cause of her acquired cerebral changes.
Figures


References
-
- Kerr GS, Hallahan CW, Giordano J, et al. Takayasu arteritis. Ann Intern Med 1994;120:919–29. - PubMed
-
- Vanoli M, Diana E, Salvarani C, et al. Takayasu's arteritis: a study of 104 Italian patients. Arthiritis Rheum 2005;53:100–7. - PubMed
-
- Kim HJ, Suh DC, Kim JK, et al. Correlation of neurological manifestations of Takayasu's arteritis with cerebral angiographic findings. Clin Imaging 2005;29:79–85. - PubMed
-
- Sharma BK, Jain S, Sagar S. Systemic manifestations of Takayasu arteritis: the expanding spectrum. Int J Cardiol 1996; 54(Suppl):S121–6. - PubMed
-
- Arend WP, Michel BA, Bloch DA, et al. American College of Rheumatology 1990 criteria for the classification of Takayasu arteritis. Arthiritis Rheum 1990;33:1129–34. - PubMed
Publication types
MeSH terms
LinkOut - more resources
Full Text Sources
Miscellaneous