Skip to main page content
U.S. flag

An official website of the United States government

Dot gov

The .gov means it’s official.
Federal government websites often end in .gov or .mil. Before sharing sensitive information, make sure you’re on a federal government site.

Https

The site is secure.
The https:// ensures that you are connecting to the official website and that any information you provide is encrypted and transmitted securely.

Access keys NCBI Homepage MyNCBI Homepage Main Content Main Navigation
Review
. 2012 Jan 1;4(1):65-93.
doi: 10.5539/gjhs.v4n1p65.

Risks and complications of coronary angiography: a comprehensive review

Affiliations
Review

Risks and complications of coronary angiography: a comprehensive review

Morteza Tavakol et al. Glob J Health Sci. .

Abstract

Coronary angiography and heart catheterization are invaluable tests for the detection and quantification of coronary artery disease, identification of valvular and other structural abnormalities, and measurement of hemodynamic parameters. The risks and complications associated with these procedures relate to the patient's concomitant conditions and to the skill and judgment of the operator. In this review, we examine in detail the major complications associated with invasive cardiac procedures and provide the reader with a comprehensive bibliography for advanced reading.

PubMed Disclaimer

Figures

Figure 1
Figure 1
Multivariable CIN risk score (Mehran et al., 2004)
Figure 2
Figure 2
Any vascular complications by procedure and closure method. CATH - diagnostic cardiac catheterization; MC - manual compression; PCI - percutaneous coronary intervention; VCD - vascular closure device.(Applegate et al., 2008)
Figure 3
Figure 3
(a) Fluoroscopy of the femoral head utilizing forceps to note the position of the inferior border of the femoral head on the patient’s skin. (b) Correct placement of the sheath in the common femoral artery. (c) Correct placement of the sheath in relation to the femoral head, with the arterial access incorrectly placed in the superficial femoral artery due to the anatomic variant of a high bifurcation. (d) Correct placement of the sheath in relation to the femoral head with a low hypogastric artery causing incorrect arterial placement in the external iliac artery. (e) Low sheath placement in the profunda femoris artery. (f) High sheath placement in the external iliac artery (Jacobi et al., 2009).
Figure 4
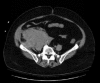
Figure 4
Retroperitoneal bleeding following cardiac catheterization via right femoral access.
Figure 5
Figure 5
Duplex ultrasound image of pseudoaneurysm, demonstrating arterial flow through a long, narrow neck arising from defect in femoral artery and turbulent color flow into cavity (a). With color flow removed, exact position of needle tip can be identified at all times during procedure, because a small amount of echogenic thrombus forms at needle tip when thrombin comes into contact with blood, helping to guide needle placement (b). With needle in position, color flow during injection of thrombin confirms acute development of thrombus within sac (c). Power Doppler image of patent native fem- oral vessels (CFA indicates common femoral artery; SFA, superficial femoral artery; and PFA, profunda femoris artery) and absence of flow after successful thrombin injection into pseudoaneurysm cavity (d) (Lennox et al., 1999).
Figure 6
Figure 6
AVF result when needle tract crossing both artery and vein is dilated and catheterized. V = vein, A = artery(Kim et al., 1992)
Figure 7
Figure 7
Pooled relative risk (random effects) of mortality after stroke in PCI or in patients with non ST- elevation MI
Figure 8
Figure 8
Angiogram of right coronary artery before (a) and after perforation (b)
Figure 9
Figure 9
Angiogram of right coronary artery prior to intervention (a), after balloon angioplasty (b) and dissection (c)
Figure 10
Figure 10
Angiogram of the left coronary system (a). Dissection of the left circumflex artery with guidewire catheter (b) with subsequent extension in to the left anterior descending artery (c)

References

    1. Acetylcysteine for prevention of renal outcomes in patients undergoing coronary and peripheral vascular angiography: main results from the randomized Acetylcysteine for Contrast-induced nephropathy Trial (ACT) [Comparative Study Meta-Analysis Randomized Controlled Trial Research Support, Non-U.S. Gov’t] Circulation. 2011;124(11):1250–1259. http://dx.doi.org/10.1161/CIRCULATIONAHA.111.038943 . - PubMed
    1. Adams D. F, Fraser D. B, Abrams H. L. The complications of coronary arteriography. Circulation. 1973;48(3):609–618. - PubMed
    1. Agostoni P, Biondi-Zoccai G. G, de Benedictis M. L, et al. Radial versus femoral approach for percutaneous coronary diagnostic and interventional procedures;Systematic overview and meta-analysis of randomized trials. J Am Coll Cardiol. 2004;44(2):349–356. - PubMed
    1. Ahmed B, Piper W. D, Malenka D, et al. Significantly improved vascular complications among women undergoing percutaneous coronary intervention: a report from the Northern New England Percutaneous Coronary Intervention Registry. Circ Cardiovasc Interv. 2009;2(5):423–429. http://dx.doi.org/10.1161/CIRCINTERVENTIONS.109.860494 . - PubMed
    1. Akkerhuis K. M, Deckers J. W, Lincoff A. M, et al. Risk of stroke associated with abciximab among patients undergoing percutaneous coronary intervention. Jama. 2001;286(1):78–82. - PubMed

MeSH terms