Celiac artery compression syndrome: an experience in a single institution in taiwan
- PMID: 22988453
- PMCID: PMC3439958
- DOI: 10.1155/2012/935721
Celiac artery compression syndrome: an experience in a single institution in taiwan
Abstract
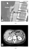
Celiac artery compression syndrome (CACS) or median arcuate ligament (MAL) syndrome is a rare vascular disease. The clinical manifestations of CACS include the triad of postprandial pain, vomiting, and weight loss. The pathogenesis of CACS is the external compression of celiac artery by the MAL or celiac ganglion. Moreover, some authors also reported the compression with different etiologies, such as neoplasms of pancreatic head, adjacent duodenal carcinoma, vascular aneurysms, aortic dissection, or sarcoidosis. In the literature, most cases of CACS were reported from Western countries. In contrast, this disease was seldom reported in Oriental countries or regions, including Taiwan. Superior mesenteric artery syndrome (SMAS) is also a rare disease characterized by compression of the third portion of the duodenum by the SMA. The clinical features of SMAS are postprandial pain, vomiting, and weight loss. To date, there are no guidelines to ensure the proper treatment of patients with CACS because of its low incidence. Thus, tailored therapy for patients with CACS remains a challenge as well as the prediction of clinical response and prognosis. The aim of our present study was to investigate the clinical features, the association with SMAS, treatments, and outcomes of patients with CACS in a single institution in Taiwan.
Figures
References
-
- HARJOLA PT. A rare obstruction of the coeliac artery. Report of a case. Annales Chirurgiae et Gynaecologiae Fenniae. 1963;52:547–550. - PubMed
-
- Dunbar JD, Molnar W, Beman FF, Marable SA. Compression of the celiac trunk and abdominal angina. The American Journal of Roentgenology, Radium Therapy, and Nuclear Medicine. 1965;95(3):731–744. - PubMed
-
- Martinez JP, Hogan GJ. Mesenteric ischemia. Emergency Medicine Clinics of North America. 2004;22(4):909–928. - PubMed
-
- Loukas M, Pinyard J, Vaid S, Kinsella C, Tariq A, Tubbs RS. Clinical anatomy of celiac artery compression syndrome: a review. Clinical Anatomy. 2007;20(6):612–617. - PubMed
-
- Bech FR. Celiac artery compression syndromes. Surgical Clinics of North America. 1997;77(2):409–424. - PubMed
LinkOut - more resources
Full Text Sources
Research Materials
