Expanded dengue syndrome: subacute thyroiditis and intracerebral hemorrhage
- PMID: 23033818
- PMCID: PMC3482561
- DOI: 10.1186/1471-2334-12-240
Expanded dengue syndrome: subacute thyroiditis and intracerebral hemorrhage
Abstract
Background: Although most symptomatic dengue infections follow an uncomplicated course, complications and unusual manifestations are increasingly being reported due to rising disease burden. Expanded dengue syndrome is a new entity added into World Health Organization (WHO) classification system to incorporate this wide spectrum of unusual manifestations. We report a case of expanded dengue syndrome with subacute thyroiditis and intracerebral hemorrhage. This is the first case report of thyroiditis in dengue infection.
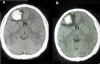
Case presentation: A 20 years old man presented with fever, myalgias, arthralgias, retro-orbital pain, vomiting and gum bleeding during a large dengue outbreak in Lahore, Pakistan. On 7th day of illness patient became afebrile, but he developed severe headaches, unconsciousness followed by altered behavior. On 9th day of illness patient developed painful neck swelling accompanied by fever, tremors, palpitations, hoarseness of voice and odynophagia. Examination revealed acutely swollen, tender thyroid gland along with features of hyperthyroidism. Laboratory evaluation revealed stable hematocrit, thrombocytopenia and leukopenia. Patient had seroconverted for anti-dengue IgM antibodies on the 10th day of illness. A non-contrast Computed Tomogram (CT) of the brain showed right frontal lobe hematoma. Thyroid profile showed increased free T3 and T4 and low TSH. Technetium thyroid scan showed reduced tracer uptake. He was diagnosed as having subacute thyroiditis and treated with oral prednisolone and propranolol. Follow up CT brain showed resolving hematoma. Patient's recovery was uneventful.
Conclusion: Subacute thyroiditis may develop during the course of dengue fever and should be included as a manifestation of expanded dengue syndrome. It should be suspected in patients with dengue fever who develop painful thyroid swelling and clinical features of hyperthyroidism.
Figures


References
-
- WHO. Dengue hemorrhagic fever. diagnosis, treatment, prevention, and control. 2. World Health Organization, Geneva; 1997.
-
- WHO: Dengue. Guidelines for diagnosis, treatment, prevention and control. New edition. World Health Organization, Geneva; 2009. - PubMed
-
- WHO. Comprehensive guidelines for prevention and control of dengue and dengue hemorrhagic fever. World Health Organization, Regional Office for South-East Asia; 2011. Revised and expanded edition http://www.searo.who.int/LinkFiles/Dengue_DHF_prevention&control_guideli....
Publication types
MeSH terms
LinkOut - more resources
Full Text Sources