The various faces of autoimmune endocrinopathies: non-tumoral hypergastrinemia in a patient with lymphocytic colitis and chronic autoimmune gastritis
- PMID: 23043903
- PMCID: PMC5098702
- DOI: 10.1016/j.yexmp.2012.09.025
The various faces of autoimmune endocrinopathies: non-tumoral hypergastrinemia in a patient with lymphocytic colitis and chronic autoimmune gastritis
Abstract
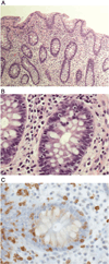
Serum gastrin levels exceeding 1000pg/ml (normal, <100) usually raise the suspicion for a neuroendocrine tumor (NET) that secretes gastrin. Rarely, such elevated gastrin levels are seen in patients with pernicious anemia which most commonly is associated with autoimmune gastritis (AG). AG can occur concomitantly with other autoimmune disorders including lymphocytic colitis (LC). Gastrin stimulates enterochromaffin-like cells which increase histamine secretion. Histamine excess can cause diarrhea as can bacterial overgrowth or LC. We present a 57-year-old woman with diarrhea, sporadic epigastric pain, and bloating. She also had a history of interstitial cystitis and took pentosan polysulfate and cetirizine. She had no history of ulcers, renal impairment or carcinoid syndrome. Fasting serum gastrin was 1846pg/ml. Esophagoduodenal gastroscopy and biopsies revealed chronic gastritis and a pH of 7 with low stomach acid. Serum gastrin and plasma chromogranin A were suggestive of a gastrinoma or NET. Pernicious anemia was unlikely. Imaging studies did not reveal any tumor. Random colonic biopsy was compatible with LC, possibly explaining her diarrhea, although we also considered excessive histamine from elevated gastrin, bacterial overgrowth, and pentosan polysulfate which can cause diarrhea and be misleading in this setting, pointing to the diagnosis of gastrinoma. At 4year follow-up in 2012, fasting serum gastrin was 1097pg/ml and the patient asymptomatic taking only cetirizine for nasal allergies. This case illustrates that diarrhea may be associated with very high serum gastrin levels in the setting of chronic gastritis, LC, and interstitial cystitis (pentosan use), without clear evidence for a gastrinoma or NET. If no history of ulcers or liver metastases is present in such cases, watchful observation rather than an extensive/invasive and costly search for a NET may be justified. Considering the various forms of polyglandular syndrome, this may represent a variant and we here provide an algorithm for working up such patients, while also reviewing literature on the intertwined relationship between the immune and endocrine systems.
Copyright © 2012 Elsevier Inc. All rights reserved.
Conflict of interest statement
statement Prof. Christian A. Koch has served as consultant for Novo Nordisk, as principal investigator of the SEISMIC study and the TR321 trial and has nothing relevant to disclose other than that this case has been presented as a poster at the 14th European Congress of Endocrinology in Florence, Italy, published as an abstract in Endocrine Abstracts 2012, Vol.29, P797.
Figures


References
-
- Agnarsdottir M, et al. Collagenous and lymphocytic colitis in Iceland. Digestive Diseases and Sciences. 2002;47:1122–1128. - PubMed
-
- Ahmad S, et al. Do single nucleotide polymorphisms in the AIP gene and MEN 1 gene predispose individuals to the development of familial isolated pituitary tumors? Journal of Investigative Medicine. 2007;55(1):S261.
-
- Betterle C, et al. Autoimmune adrenal insufficiency and autoimmune polyendocrine syndromes: autoantibodies, autoantigens, and their applicability in diagnosis and disease prediction. Endocrine Reviews. 2002 Jun;23(3):327–364. - PubMed
Publication types
MeSH terms
Substances
Grants and funding
LinkOut - more resources
Full Text Sources
Other Literature Sources
Medical
Research Materials