Endovascular caudal retraction of the cranial end of a misplaced Viatorr TIPS prior to liver transplantation
- PMID: 23077382
- PMCID: PMC3448573
- DOI: 10.1080/08998280.2012.11928871
Endovascular caudal retraction of the cranial end of a misplaced Viatorr TIPS prior to liver transplantation
Abstract
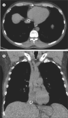
Transjugular intrahepatic portosystemic shunt (TIPS) extension far into the inferior vena cava (IVC) or the right atrium may complicate or preclude orthotopic liver transplantation depending on the space available for placement of a hemostatic clamp in the suprahepatic IVC. Until 2004, most TIPS were performed with bare metal stents, which integrate into the vessel wall, making percutaneous or intraoperative repositioning uncertain. Most TIPS are currently created with stent grafts that have an outer fabric to increase shunt patency and prevent endothelial ingrowth. We describe the first known manipulation of a covered stent graft prior to transplantation. The stent graft, which extended well into the IVC, was snared from a femoral approach and deflected caudally in order to document feasibility and nonadherence to the vein wall prior to definitive surgical planning of liver transplantation. Provisions were made for endovascular retraction during actual transplant surgery 9 weeks later, but this became unnecessary when manual retraction of the exposed liver enabled suprahepatic IVC clamping. Due to the nonadherent nature of the outer graft material, compared with a bare metal stent, extension of a stent graft into the IVC or right atrium may not preclude transplantation, and intraoperative endovascular retraction may be considered.
Figures
 
              
              
              
              
                
                
                 
              
              
              
              
                
                
                 
              
              
              
              
                
                
                References
- 
    - Chui AK, Rao AR, Shi LW, Ong J, Waugh RC, Verran DJ, Shun A, Sheil AG. Liver transplantation in patients with transjugular intrahepatic portosystemic shunts. Transplant Proc. 2000;32(7):2204–2205. - PubMed
 
- 
    - Gimson AE. Transjugular intrahepatic portosystemic stent-shunt and liver transplantation—how safe is the bridge? Eur J Gastroenterol Hepatol. 2002;14(8):821–822. - PubMed
 
- 
    - John TG, Jalan R, Stanley AJ, Redhead DN, Sanfey HA, Hayes PC, Garden OJ. Transjugular intrahepatic portosystemic stent-shunt (TIPSS) insertion as a prelude to orthotopic liver transplantation in patients with severe portal hypertension. Eur J Gastroenterol Hepatol. 1996;8(12):1145–1149. - PubMed
 
- 
    - Moreno A, Meneu JC, Moreno E, Fraile M, García I, Loinaz C, Abradelo M, Jiménez C, Gomez R, García-Sesma A, Manrique A, Gimeno A. Liver transplantation and transjugular intrahepatic portosystemic shunt. Transplant Proc. 2003;35(5):1869–1870. - PubMed
 
- 
    - Cohen GS, Ball DS. Delayed Wallstent migration after a transjugular intrahepatic portosystemic shunt procedure: relocation with a loop snare. J Vasc Interv Radiol. 1993;4(4):561–563. - PubMed
 
LinkOut - more resources
- Full Text Sources
