Pulmonary complications in patients with severe brain injury
- PMID: 23133746
- PMCID: PMC3485871
- DOI: 10.1155/2012/207247
Pulmonary complications in patients with severe brain injury
Abstract
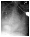
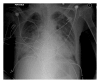
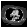
Pulmonary complications are prevalent in the critically ill neurological population. Respiratory failure, pneumonia, acute lung injury and the acute respiratory distress syndrome (ALI/ARDS), pulmonary edema, pulmonary contusions and pneumo/hemothorax, and pulmonary embolism are frequently encountered in the setting of severe brain injury. Direct brain injury, depressed level of consciousness and inability to protect the airway, disruption of natural defense barriers, decreased mobility, and secondary neurological insults inherent to severe brain injury are the main cause of pulmonary complications in critically ill neurological patients. Prevention strategies and current and future therapies need to be implemented to avoid and treat the development of these life-threatening medical complications.
Figures




References
-
- Pelosi P, Ferguson ND, Frutos-Vivar F, et al. Management and outcome of mechanically ventilated neurologic patients. Critical Care Medicine. 2011;39(6):1482–1492. - PubMed
-
- Wartenberg KE, Schmidt JM, Claassen J, et al. Impact of medical complications on outcome after subarachnoid hemorrhage. Critical Care Medicine. 2006;34(3):617–623. - PubMed
-
- Kahn JM, Caldwell EC, Deem S, Newell DW, Heckbert SR, Rubenfeld GD. Acute lung injury in patients with subarachnoid hemorrhage: incidence, risk factors, and outcome. Critical Care Medicine. 2006;34(1):196–202. - PubMed
-
- Maramattom BV, Weigand S, Reinalda M, Wijdicks EFM, Manno EM. Pulmonary complications after intracerebral hemorrhage. Neurocritical Care. 2006;5(2):115–119. - PubMed
LinkOut - more resources
Full Text Sources
Other Literature Sources