Cysteine-generated sulfide in the cytosol negatively regulates autophagy and modulates the transcriptional profile in Arabidopsis
- PMID: 23144183
- PMCID: PMC3531856
- DOI: 10.1105/tpc.112.105403
Cysteine-generated sulfide in the cytosol negatively regulates autophagy and modulates the transcriptional profile in Arabidopsis
Abstract
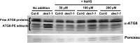
In Arabidopsis thaliana, DES1 is the only identified L-Cysteine desulfhydrase located in the cytosol, and it is involved in the degradation of cysteine and the concomitant production of H(2)S in this cell compartment. Detailed characterization of the T-DNA insertion mutants des1-1 and des1-2 has provided insight into the role of sulfide metabolically generated in the cytosol as a signaling molecule. Mutations of L-CYS DESULFHYDRASE 1 (DES1) impede H(2)S generation in the Arabidopsis cytosol and strongly affect plant metabolism. Senescence-associated vacuoles are detected in mesophyll protoplasts of des1 mutants. Additionally, DES1 deficiency promotes the accumulation and lipidation of the ATG8 protein, which is associated with the process of autophagy. The transcriptional profile of the des1-1 mutant corresponds to its premature senescence and autophagy-induction phenotypes, and restoring H(2)S generation has been shown to eliminate the phenotypic defects of des1 mutants. Moreover, sulfide is able to reverse ATG8 accumulation and lipidation, even in wild-type plants when autophagy is induced by carbon starvation, suggesting a general effect of sulfide on autophagy regulation that is unrelated to sulfur or nitrogen limitation stress. Our results suggest that cysteine-generated sulfide in the cytosol negatively regulates autophagy and modulates the transcriptional profile of Arabidopsis.
Figures
References
-
- Alonso J.M., et al. (2003). Genome-wide insertional mutagenesis of Arabidopsis thaliana. Science 301: 653–657 - PubMed
-
- Álvarez C., Bermúdez M.A., Romero L.C., Gotor C., García I. (2012). Cysteine homeostasis plays an essential role in plant immunity. New Phytol. 193: 165–177 - PubMed
-
- Bassham D.C. (2007). Plant autophagy—More than a starvation response. Curr. Opin. Plant Biol. 10: 587–593 - PubMed
Publication types
MeSH terms
Substances
Associated data
- Actions
- Actions
LinkOut - more resources
Full Text Sources
Other Literature Sources
Molecular Biology Databases
Research Materials
