Mid-gestational gene expression profile in placenta and link to pregnancy complications
- PMID: 23145134
- PMCID: PMC3492272
- DOI: 10.1371/journal.pone.0049248
Mid-gestational gene expression profile in placenta and link to pregnancy complications
Abstract
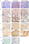
Despite the importance of placenta in mediating rapid physiological changes in pregnancy, data on temporal dynamics of placental gene expression are limited. We completed the first transcriptome profiling of human placental gene expression dynamics (GeneChips, Affymetrix®; ~47,000 transcripts) from early to mid-gestation (n = 10; gestational weeks 5-18) and report 154 genes with significant transcriptional changes (ANOVA, FDR P<0.1). TaqMan RT-qPCR analysis (n = 43; gestational weeks 5-41) confirmed a significant (ANOVA and t-test, FDR P<0.05) mid-gestational peak of placental gene expression for BMP5, CCNG2, CDH11, FST, GATM, GPR183, ITGBL1, PLAGL1, SLC16A10 and STC1, followed by sharp decrease in mRNA levels at term (t-test, FDR P<0.05). We hypothesized that normal course of late pregnancy may be affected when genes characteristic to mid-gestation placenta remain highly expressed until term, and analyzed their expression in term placentas from normal and complicated pregnancies [preeclampsia (PE), n = 12; gestational diabetes mellitus (GDM), n = 12; small- and large-for-gestational-age newborns (SGA, LGA), n = 12+12]. STC1 (stanniocalcin 1) exhibited increased mRNA levels in all studied complications, with the most significant effect in PE- and SGA-groups (t-test, FDR P<0.05). In post-partum maternal plasma, the highest STC1 hormone levels (ELISA, n = 129) were found in women who had developed PE and delivered a SGA newborn (median 731 vs 418 pg/ml in controls; ANCOVA, P = 0.00048). Significantly higher expression (t-test, FDR P<0.05) of CCNG2 and LYPD6 accompanied with enhanced immunostaining of the protein was detected in placental sections of PE and GDM cases (n = 15). Our study demonstrates the importance of temporal dynamics of placental transcriptional regulation across three trimesters of gestation. Interestingly, many genes with high expression in mid-gestation placenta have also been implicated in adult complex disease, promoting the discussion on the role of placenta in developmental programming. The discovery of elevated maternal plasma STC1 in pregnancy complications warrants further investigations of its potential as a biomarker.
Conflict of interest statement
Figures






References
-
- Cross JC (2006) Placental function in development and disease. Reprod Fertil Dev 18: 71–76. - PubMed
-
- Kim SJ, Lee SY, Lee C, Kim I, An HJ, et al. (2006) Differential expression profiling of genes in a complete hydatidiform mole using cDNA microarray analysis. Gynecol Oncol 103: 654–660. - PubMed
-
- Enquobahrie DA, Williams MA, Qiu C, Meller M, Sorensen TK (2009) Global placental gene expression in gestational diabetes mellitus. Am J Obstet Gynecol 200: 206 e201–213. - PubMed
-
- Nevo O, Many A, Xu J, Kingdom J, Piccoli E, et al. (2008) Placental expression of soluble fms-like tyrosine kinase 1 is increased in singletons and twin pregnancies with intrauterine growth restriction. J Clin Endocrinol Metab 93: 285–292. - PubMed
Publication types
MeSH terms
Substances
Associated data
- Actions
- Actions
Grants and funding
LinkOut - more resources
Full Text Sources
Medical
Molecular Biology Databases
Miscellaneous