Optimal morphologic response to preoperative chemotherapy: an alternate outcome end point before resection of hepatic colorectal metastases
- PMID: 23150701
- PMCID: PMC3518730
- DOI: 10.1200/JCO.2012.45.2854
Optimal morphologic response to preoperative chemotherapy: an alternate outcome end point before resection of hepatic colorectal metastases
Abstract
Purpose: The purposes of this study were to confirm the prognostic value of an optimal morphologic response to preoperative chemotherapy in patients undergoing chemotherapy with or without bevacizumab before resection of colorectal liver metastases (CLM) and to identify predictors of the optimal morphologic response.
Patients and methods: The study included 209 patients who underwent resection of CLM after preoperative chemotherapy with oxaliplatin- or irinotecan-based regimens with or without bevacizumab. Radiologic responses were classified as optimal or suboptimal according to the morphologic response criteria. Overall survival (OS) was determined, and prognostic factors associated with an optimal response were identified in multivariate analysis.
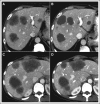
Results: An optimal morphologic response was observed in 47% of patients treated with bevacizumab and 12% of patients treated without bevacizumab (P < .001). The 3- and 5-year OS rates were higher in the optimal response group (82% and 74%, respectively) compared with the suboptimal response group (60% and 45%, respectively; P < .001). On multivariate analysis, suboptimal morphologic response was an independent predictor of worse OS (hazard ratio, 2.09; P = .007). Receipt of bevacizumab (odds ratio, 6.71; P < .001) and largest metastasis before chemotherapy of ≤ 3 cm (odds ratio, 2.12; P = .025) were significantly associated with optimal morphologic response. The morphologic response showed no specific correlation with conventional size-based RECIST criteria, and it was superior to RECIST in predicting major pathologic response.
Conclusion: Independent of preoperative chemotherapy regimen, optimal morphologic response is sufficiently correlated with OS to be considered a surrogate therapeutic end point for patients with CLM.
Conflict of interest statement
Authors' disclosures of potential conflicts of interest and author contributions are found at the end of this article.
Figures
References
-
- Kopetz S, Vauthey JN. Perioperative chemotherapy for resectable hepatic metastases. Lancet. 2008;371:963–965. - PubMed
Publication types
MeSH terms
Substances
Grants and funding
LinkOut - more resources
Full Text Sources
Medical
