Carotid sinus syndrome as the presenting symptom of cystadenolymphoma
- PMID: 23151249
- PMCID: PMC3528468
- DOI: 10.1186/1746-160X-8-31
Carotid sinus syndrome as the presenting symptom of cystadenolymphoma
Abstract
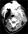
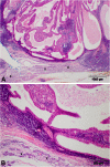
Carotid sinus syndrome is a serious manifestation of head and neck malignancy. The purpose of this study was to clarify the presence of carotid sinus syndrome in a patient with cystadenolymphoma. To our knowledge carotid sinus syndrome secondary to cystadenolymphoma has not been reported to date. A 45-year-old woman with one-week-old swelling in the left mandibular angle having disturbing symptoms of vertigo, consciousness and sinus arrest. Holter monitoring revealed several episodes of sinus arrest. Ultrasonography showed a well-defined space-occupying lesion of about 31 mm in length and 17 mm in width located in the deep lobe of the left parotid gland. Computerized tomography (CT) showed a large mass extending into the carotid space and protruding into the parapharyngeal space. Parotidectomy was performed. Surgical removal of the tumor resulted in complete amelioration of symptoms and disappearance of electrocardiogram abnormalities. Here we report on a clinical case of carotid sinus syndrome associated with cystadenolymphoma. To our knowledge carotid sinus syndrome secondary to cystadenolymphoma has not been reported to date, and is made more remarkable as a possible differential diagnosis after clarification of all possible causes. Early diagnosis and immediate management can minimize complications.
Figures



References
-
- Córdoba López A, Torrico Román P, Inmaculada Bueno Alvarez-Arenas M, Monterrubio Villar J, Corcho Sánchez G. Syncope due to parapharyngeal space lesions syncope-syndrome. Rev Esp Cardiol. 2001;54:649–651. - PubMed
-
- Weiss S, Baker JP. The carotid sinus reflex in health and disease: its role in the causation of fainting and convulsions. Medicine. 1933;12:297–354. doi: 10.1097/00005792-193309000-00003. - DOI
Publication types
MeSH terms
LinkOut - more resources
Full Text Sources