New bipolar tissue ligator combines constant tissue compression and temperature guidance: histologic study and implications for treatment of hemorrhoids
- PMID: 23152714
- PMCID: PMC3496967
- DOI: 10.2147/MDER.S34390
New bipolar tissue ligator combines constant tissue compression and temperature guidance: histologic study and implications for treatment of hemorrhoids
Abstract
Background: Several minimally invasive technologies are available to treat common soft tissue lesions including symptomatic hemorrhoids. The use of energy to deliver heat and coagulate target lesions is commonly practiced. This study compares the histologic effects produced on intestinal tissues by two energy-based systems which employ different approaches of heat delivery.
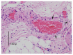
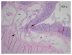
Methods: TWO HEAT DELIVERY SYSTEMS WERE EVALUATED IN VIVO IN A SINGLE PORCINE SUBJECT: infrared coagulator and bipolar tissue ligator utilizing constant tissue compression and temperature guidance. Eighteen treatment sites divided into three groups of six were assessed. Treatment site temperature was measured and the effects of thermal treatment in the mucosa, submucosa, submucosal vessels, and muscularis layer were scored. Lateral thermal spread beyond the energy application site was also assessed.
Results: Treatment site temperatures were much lower in the bipolar ligator group than in the infrared coagulator group. The mucosal and submucosal tissue changes observed in tissues treated with infrared energy and bipolar energy at 55°C were similar. Both the mucosal and submucosal tissue changes with bipolar energy at 50°C were significantly less.
Conclusion: Both devices achieved similar histologic results. However, the unique design of the bipolar ligator, which allows consistent capture, constant compression, and temperature monitoring of target tissue, accomplished the desired histologic changes with less muscular damage at much lower temperatures than the infrared coagulator. The use of bipolar ligation could offer clinical advantages such as reduced patient pain and a minimized chance of heat-related collateral tissue damage.
Keywords: bipolar ligator; internal hemorrhoids; ligation; tissue manipulation.
Figures
References
-
- Walker AJ, Leicester RJ, Nicholls RJ. A prospective study of infrared coagulation, injection and rubber band ligation in the treatment of haemorrhoids. Int J Colorectal Dis. 1990;5(2):113–116. - PubMed
-
- Bat L, Melzer E, Koler M, Dreznick Z, Shemesh E. Complications of rubber band ligation of symptomatic internal hemorrhoids. Dis Colon Rectum. 1993;36(3):287–290. - PubMed
-
- Poen AC, Felt-Bersma RJ, Cuesta MA, Devillé W, Meuwissen SG. A randomized controlled trial of rubber band ligation versus infrared coagulation in the treatment of internal haemorrhoids. Eur J Gastroenterol Hepatol. 2000;12(5):535–539. - PubMed
-
- Marques CF, Nahas SC, Nahas CS, Sobrado CW, Jr, Habr-Gama A, Kiss DR. Early results of the treatment of internal hemorrhoid disease by infrared coagulation and elastic banding: a prospective randomized cross-over trial. Tech Coloproctol. 2006;10(4):312–317. - PubMed
LinkOut - more resources
Full Text Sources
