Retropharyngeal and prevertebral spaces: anatomic imaging and diagnosis
- PMID: 23153750
- PMCID: PMC3994542
- DOI: 10.1016/j.otc.2012.08.004
Retropharyngeal and prevertebral spaces: anatomic imaging and diagnosis
Abstract
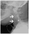
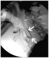
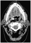
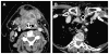
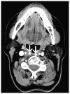
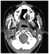
Cross-sectional imaging plays an important role in the evaluation of the retropharyngeal space (RPS) and the prevertebral space (PVS). Because of their deep location within the neck, lesions arising within these spaces are difficult, if not impossible, to evaluate on clinical examination. This article details the cross-sectional anatomy and imaging appearances of primary and secondary diseases involving the RPS and PVS, including metastasis and spread from adjacent spaces. The role of image-guided biopsy is also discussed.
Copyright © 2012 Elsevier Inc. All rights reserved.
Conflict of interest statement
The authors have no financial information or potential conflicts of interest to disclose.
Figures




















References
-
- Nyberg DA, Jeffrey RB, Brant-Zawadzki M, et al. Computed tomography of cervical infections. J Comput Assist Tomogr. 1985;9(2):288–96. - PubMed
-
- Wong YK, Novotny GM. Retropharyngeal space - a review of anatomy, pathology, and clinical presentation. J Otolaryngol. 1978;7(6):528–36. - PubMed
-
- Warner WC. Rockwood and Wilkins’ fractures in children. In: Beaty JH, Kasser JR, editors. Cervical spine injuries in children. Baltimore (MD): Lippincott Williams & Wilkins; 2001. pp. 809–84.
-
- Branstetter BF, 4th, Weissman JL. Normal anatomy of the neck with CT and MR imaging correlation. Radiol Clin North Am. 2000;38(5):925–40. - PubMed
-
- Chong VF, Fan YF. Radiology of the retropharyngeal space. Clin Radiol. 2000;55(10):740–8. - PubMed
Publication types
MeSH terms
Grants and funding
LinkOut - more resources
Full Text Sources
Research Materials