Hormonal contraceptives, menstrual cycle and brain response to faces
- PMID: 23175677
- PMCID: PMC3907931
- DOI: 10.1093/scan/nss128
Hormonal contraceptives, menstrual cycle and brain response to faces
Abstract
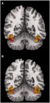
Both behavioral and neuroimaging evidence support a female advantage in the perception of human faces. Here we explored the possibility that this relationship may be partially mediated by female sex hormones by investigating the relationship between the brain's response to faces and the use of oral contraceptives, as well as the phase of the menstrual cycle. First, functional magnetic resonance images were acquired in 20 young women [10 freely cycling and 10 taking oral contraception (OC)] during two phases of their cycle: mid-cycle and menstruation. We found stronger neural responses to faces in the right fusiform face area (FFA) in women taking oral contraceptives (vs freely cycling women) and during mid-cycle (vs menstruation) in both groups. Mean blood oxygenation level-dependent response in both left and right FFA increased as function of the duration of OC use. Next, this relationship between the use of OC and FFA response was replicated in an independent sample of 110 adolescent girls. Finally in a parallel behavioral study carried out in another sample of women, we found no evidence of differences in the pattern of eye movements while viewing faces between freely cycling women vs those taking oral contraceptives. The imaging findings might indicate enhanced processing of social cues in women taking OC and women during mid-cycle.
Keywords: eye movements; fMRI, fusiform face area (FFA); menstrual cycle; oral contraception (OC).
Figures
References
-
- Costa PT, Jr, McCrae RR. NEO-PI/FFI Manual Supplement. Odessa, FL: Psychological Assessment Resources; 1989.
-
- Dietrich T, Krings T, Neulen J, et al. Effects of blood estrogen level on cortical activation patterns during cognitive activation as measured by fuctional MRI. Neuroimage. 2001;13(3):425–32. - PubMed
-
- Follesa P, Concas A, Porcu P, et al. Role of allopregnanolone in regulation of GABA(A) receptor plasticity during long-term exposure to and withdrawal from progesterone. Brain Research Reviews. 2001;37(1–3):81–90. - PubMed
