Wells syndrome
- PMID: 23189251
- PMCID: PMC3505426
- DOI: 10.4103/2229-5178.101815
Wells syndrome
Abstract
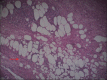
Wells syndrome or eosinophilic cellulitis is characterized clinically by an acute dermatitis resembling cellulitis and histopathologically by dermal eosinophilic infiltration. Various morphological presentations have been described. We report a 32-year-old female with recurrent, erythematous plaques on left forearm of 8 months duration, associated with mild itching that resolved leaving mild hyperpigmentation.
Keywords: Cellulitis; Wells syndrome; eosinophils.
Conflict of interest statement
Figures
References
-
- Wells GC. Recurrent granulomatous dermatitis with eosinophilia. Trans St Johns Hosp Dermatol Soc. 1971;57:46–56. - PubMed
-
- Wells GC, Smith NP. Eosinophilic cellulitis. Br J Dermatol. 1979;100:101–9. - PubMed
-
- Aberer W, Konrad K, Wolff K. Wells’ syndrome is a distinctive disease entity and not a histologic diagnosis. J Am Acad Dermatol. 1988;18(1 Pt 1):105–14. - PubMed
-
- Schorr WF, Tauscheck AL, Dickson KB, Melski JW. Eosinophilic cellulitis (Wells’ syndrome): Histologic and clinical features in arthropod bite reactions. J Am Acad Dermatol. 1984;11:1043–9. - PubMed
-
- Wood C, Miller AC, Jacobs A, Hart R, Nickoloff BJ. Eosinophilic infiltration with flame figures. A distinctive tissue reaction seen in Wells’ syndrome and other diseases. Am J Dermatopathol. 1986;8:186–93. - PubMed
