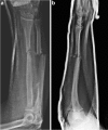
Treatment of a segmental defect in open radial and ulnar shaft fractures using rhBMP-2 and iliac crest bone graft: a case report
- PMID: 23204971
- PMCID: PMC3213260
- DOI: 10.1007/s11552-011-9348-2
Treatment of a segmental defect in open radial and ulnar shaft fractures using rhBMP-2 and iliac crest bone graft: a case report
Figures
References
-
- Bouxsein ML, Turek TJ, Blake CA, et al. Recombinant human bone morphogenetic protein-2 accelerates healing in a rabbit ulnar osteotomy model. J Bone Joint Surg. 2001;83:1219–1230. - PubMed
-
- Boyne PJ. Application of bone morphogenetic proteins in the treatment of clinical oral and maxillofacial osseous defects. J Bone Joint Surg. 2001;83:146–150. - PubMed
LinkOut - more resources
Full Text Sources
