Reversible parkinsonism due to a large intracranial tumour
- PMID: 23266782
- PMCID: PMC4544984
- DOI: 10.1136/bcr-2012-007823
Reversible parkinsonism due to a large intracranial tumour
Abstract
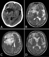
A 77-year-old woman presented with progressively worsening apathy, depression, urinary incontinence and slowness of movement for the past 1 year. Asymmetric akinetic-rigid parkinsonism and mild left-sided hyper-reflexia were seen on examination. No ocular movement impairment, cerebellar or sensory signs were noticed. Routine laboratory testing was normal. Brain imaging revealed a large frontal tumour which was subsequently excised and pathologically confirmed as a meningioma. Marked clinical improvement was documented 3 months after surgery, and persistent clinical and imaging remission have been confirmed annually for the following 3 years. There have been some reports of parkinsonism associated with intracranial tumours. Although this is probably an uncommon situation, it is potentially treatable, and symptoms might even remit completely following successful management. Parkinson's disease is a common cause of parkinsonism, but alternative aetiologies should be suspected whenever atypical findings are demonstrated by clinical history or examination.
Figures

References
-
- Massano J. Parkinson's disease: a clinical update. Acta Med Port 2011;24 Suppl 4:827–34. - PubMed
-
- Chaudhuri KR, Schapira AH. Non-motor symptoms of Parkinson's disease dopaminergic pathophysiology and treatment. Lancet Neurol 2009;8:464–74. - PubMed
-
- Alvarez MV, Evidente VG. Understanding drug-induced parkinsonism: separating pearls from oysters. Neurology 2008;70:e32–4. - PubMed
Publication types
MeSH terms
LinkOut - more resources
Full Text Sources
Medical
Molecular Biology Databases
Miscellaneous