Skip to main page content
U.S. flag

An official website of the United States government

Dot gov

The .gov means it’s official.
Federal government websites often end in .gov or .mil. Before sharing sensitive information, make sure you’re on a federal government site.

Https

The site is secure.
The https:// ensures that you are connecting to the official website and that any information you provide is encrypted and transmitted securely.

Access keys NCBI Homepage MyNCBI Homepage Main Content Main Navigation
. 2012 Dec;109(49):857-67; quiz 868.
doi: 10.3238/arztebl.2012.0857. Epub 2012 Dec 7.

The treatment of hallux valgus

Affiliations

The treatment of hallux valgus

Nikolaus Wülker et al. Dtsch Arztebl Int. 2012 Dec.

Abstract

Background: Hallux valgus is the commonest forefoot deformity, with an estimated prevalence of 23% to 35%. It causes symptoms on the medial edge of the foot, the sole, and the small toes. Non-operative treatment may alleviate symptoms but does not correct the deformity of the big toe. Surgery is indicated if the pain persists. The correct operation must be selected from a wide variety of available techniques.

Methods: In this article, we selectively review the pertinent literature, including the recommendations of medical societies in Germany and abroad, in the light of our own clinical experience.

Results: There have been many clinical trials of various treatments for hallux valgus, but very few of these were randomized, and the case numbers were generally small. Mild deformities are best treated by distal first metatarsal osteotomies, e.g. the Chevron osteotomy. Severe deformities require a soft-tissue procedure at the first metatarsophalangeal joint and a proximal first metatarsal osteotomy. In case of osteoarthritis, and in elderly patients, a resection arthroplasty is preferred; arthrodesis is performed in physically active patients. After correction of hallux valgus, patients can usually bear their full weight on the treated foot while wearing a flat surgical shoe. Proper surgical treatment results in a good or very good outcome in 85% of patients and a satisfactory result in a further 10%.

Conclusion: The clinical outcome of present treatments seems to be good in most cases, but large-scale randomized trials are still needed to verify the efficacy of the wide variety of operations and fixation techniques that are currently being offered.

PubMed Disclaimer

Figures

Figure 1
Figure 1
Hallux valgus with a hallux valgus angle of 20° and pain from pressure on the bunion medially
Figure 2
Figure 2
Sites of surgical procedures for treatment of hallux valgus. The numbers correspond to those in Table 1 (first column)
Figure 3
Figure 3
The algorithm used at our institution to classify hallux valgus and select the most appropriate surgical procedure. This algorithm broadly corresponds to other published recommendations (36). Distal and proximal repositioning of metatarsal I and arthrodesis can be accomplished by means of various osteotomies and fixation techniques. MT-I, metatarsal I
Figure 4
Figure 4
Radiographs of a foot with mild hallux valgus
Figure 5
Figure 5
Radiographs of a foot with severe hallux valgus
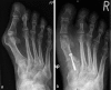
Figure 6
Figure 6
Radiographs of a foot with hallux valgus in a 68-year-old man
Figure 7
Figure 7
Radiographs of the right foot of a 75-year-old woman

Comment in

  • High heels as a cause.
    Bajer D. Bajer D. Dtsch Arztebl Int. 2013 Apr;110(17):296. doi: 10.3238/arztebl.2013.0296. Dtsch Arztebl Int. 2013. PMID: 23671477 Free PMC article. No abstract available.

References

    1. Nix S, Smith M, Vicenzino B. Prevalence of hallux valgus in the general population: a systematic review and metaanalysis. J Foot Ankle Res. 2010;3 - PMC - PubMed
    1. Nguyen US, Hillstrom HJ, Li W, et al. Factors associated with hallux valgus in a population-based study of older women and men: the MOBILIZE Boston Study. Osteoarthritis Cartilage. 2010;18:41–46. - PMC - PubMed
    1. Wülker N. Hallux valgus - Hallux rigidus. Stuttgart: Enke. 1997:3–32.
    1. Mann RA, Coughlin MJ. Hallux valgus: etiology, anatomy, treatment and surgical considerations. Clin Orthop. 1981;157:31–41. - PubMed
    1. Perera AM, Mason L, Stephens MM. The pathogenesis of hallux valgus. J Bone Joint Surg Am. 2011;93:1650–1661. - PubMed

LinkOut - more resources