Spleen rupture in a case of untreated Plasmodium vivax infection
- PMID: 23272256
- PMCID: PMC3521714
- DOI: 10.1371/journal.pntd.0001934
Spleen rupture in a case of untreated Plasmodium vivax infection
Conflict of interest statement
The authors have declared that no competing interests exist.
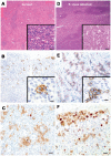
Figures


References
-
- Neva FA, Sheagren JN, Shulman NR, Canfield CJ (1970) Malaria: host-defense mechanisms and complications. Ann Intern Med 73: 295–306. - PubMed
-
- Thomas V, Hock SK, Leng YP (1981) Seroepidemiology of malaria: age-specific pattern of Plasmodium falciparum antibody, parasite and spleen rates among children in an endemic area in peninsular Malaysia. Trop Doct 11: 149–154. - PubMed
-
- Brabin L, Brabin BJ, van der Kaay HJ (1988) High and low spleen rates distinguish two populations of women living under the same malaria endemic conditions in Madang, Papua, New Guinea. Trans R Soc Trop Med Hyg 82: 671–676. - PubMed
-
- Chaves LF, Taleo G, Kalkoa M, Kaneko A (2011) Spleen rates in children: an old and new surveillance tool for malaria elimination initiatives in island settings. Trans R Soc Trop Med Hyg 105: 226–231. - PubMed