Prevalence of white spot lesion formation during orthodontic treatment
- PMID: 23289733
- PMCID: PMC8754044
- DOI: 10.2319/071712-584.1
Prevalence of white spot lesion formation during orthodontic treatment
Abstract
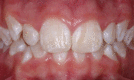
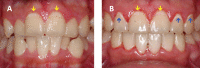
Purpose: To quantify the prevalence of white spot lesions (WSLs) on the anterior teeth and, secondarily, to evaluate risk factors and predictors.
Materials and methods: Digital photographs and records of 885 randomly chosen patients were evaluated before and after treatment. Chart information included gender, age, as well as banding and debanding dates. Fluorosis and oral hygiene before and after treatment were also evaluated. Preexisting and posttreatment WSLs were recorded and compared for all 12 anterior teeth. Risk ratios (RR) and absolute risk (AR) were calculated to determine the likelihood and risk of WSL formation.
Results: Overall, 23.4% of the patients developed at least one WSL during their course of treatment. Maxillary anterior teeth were affected more than mandibular teeth. The maxillary laterals and canines and the mandibular canines were the most susceptible. There was no significant difference in WSLs between genders. Fluorosis, treatment time in excess of 36 months, poor pretreatment hygiene, hygiene changes during treatment, and preexisting WSLs were all significantly (P < .05) related to the development of WSLs. The highest risk of developing WSLs was associated with preexisting WSLs (RR = 3.40), followed by declines in oral hygiene during treatment (RR = 3.12) and poor pretreatment oral hygiene (RR = 2.83).
Conclusions: Nearly 25% of the patients developed WSLs while in treatment, depending on fluorosis, treatment time, preexisting WSLs, and oral hygiene. Orthodontists need to be mindful of these risk factors when making treatment decisions.
Figures



References
-
- Ogaard B. White spot lesions during orthodontic treatment: mechanisms and fluoride preventive aspects. Semin Orthod. 2008;3:183–193.
-
- Ogaard B. Prevalence of white spot lesions in 19 year olds: a study on untreated and orthodontically treated persons 5years after treatment. Am J Orthod Dentofacial Orthop. 1989;96:423–427. - PubMed
-
- Gorelick L, Geiger AM, Gwinnett AJ. Incidence of white spot formation after bonding and banding. Am J Orthod Dentofacial Orthop. 1982;81:93–96. - PubMed
-
- Mizrahi E. Enamel demineralization following orthodontic treatment. Am J Orthod Dentofacial Orthop. 1982;1:62–67. - PubMed
-
- Årtun J, Brobakken BO. Prevalence of carious white spots after orthodontic treatment with multibonded appliances. Eur J Orthod. 1986;8:229–234. - PubMed
Publication types
MeSH terms
LinkOut - more resources
Full Text Sources
Other Literature Sources
Medical
Research Materials