Triple teeth: report of an unusual case
- PMID: 23346424
- PMCID: PMC3533612
- DOI: 10.1155/2012/735925
Triple teeth: report of an unusual case
Abstract
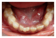
Fusion or synodontia is a union of two or more than two developing teeth. Commonly fusion occurs between teeth of the same dentition, mixed dentition, or between normal and supernumerary teeth. Fused primary teeth present with several clinical problems like caries, periodontal problem, arch asymmetry, delayed eruption, ectopic eruption of succedaneous teeth, aesthetic, and other complications. This paper presents a rare and unusual case of triple teeth in mandibular primary dentition.
Figures
References
-
- Roa A. Synodontia of deciduous maxillary central and lateral incisors with a supernumerary tooth. Journal of Indian Society of Pedodontics and Preventive Dentistry. 2000;18:71–74.
-
- Janiszewska-Olszowska J, Wedrychowska-Szulc B, Syrynska M. Fusion of lower deciduous lateral incisor and canine- Review and report of two cases. Dental and Medical Problems. 2008;45:82–84.
-
- Goenka P, Dutta S. Tooth triplet: a rare case report. Journal of Oral Health & Community Dentistry. 2009;3:15–17.
-
- Chalakkal P, Thomas AM. Bilateral fusion of mandibular primary teeth. Journal of Indian Society of Pedodontics and Preventive Dentistry. 2009;27(2):108–110. - PubMed
-
- Saxena A, Pandey R, Kamboj M. Bilateral fusion of permanent mandibular incisors: a case report. Journal of Indian Society of Pedodontics and Preventive Dentistry. 2008;26(5):S32–S33. - PubMed
LinkOut - more resources
Full Text Sources
