Cocaine induced vasculitis: have we found a culprit?
- PMID: 23346447
- PMCID: PMC3546447
- DOI: 10.1155/2012/982361
Cocaine induced vasculitis: have we found a culprit?
Abstract
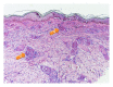
Cocaine abuse is relatively common in our society. To enhance profitability and acceptability of the product, it is not uncommon for illicit drugs to undergo several processes. The Drug Enforcement Agency (DEA) has reported that seventy percent (70%) of cocaine seized at USA borders has been adulterated with levamisole, previously used as chemotherapeutic and immunomodulator for several conditions. Among the side effects of levamisole-adulterated cocaine, necrotizing vasculitis is the more dramatic. We report three cases of necrotizing vasculitis associated with antineutrophils cytoplasmic antibodies (ANCAs) positivity, linked to the use of cocaine. To our knowledge, these are the first cases of cocaine induced vasculitis reported in the Caribbean.
Figures





References
-
- Centers for Disease Control and Prevention (CDC) Agranulocytosis associated with cocaine use—four states, March 2008-November 2009. Morbidity and Mortality Weekly Report. 2009;58(49):1381–1385. - PubMed
-
- Bradford M, Rosenberg B, Moreno J, Dumyati G. Bilateral necrosis of earlobes and cheeks: another complication of cocaine contaminated with levamisole. Annals of Internal Medicine. 2010;152(11):758–759. - PubMed
-
- Walsh NMG, Green PJ, Burlingame RW, Pasternak S, Hanly JG. Cocaine-related retiform purpura: evidence to incriminate the adulterant, levamisole. Journal of Cutaneous Pathology. 2010;37(12):1212–1219. - PubMed
LinkOut - more resources
Full Text Sources