Chondrosarcoma in childhood: the radiologic and clinical conundrum
- PMID: 23365701
- PMCID: PMC3557123
- DOI: 10.3941/jrcr.v6i12.1241
Chondrosarcoma in childhood: the radiologic and clinical conundrum
Abstract
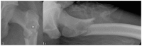
Less than 10% of chondrosarcomas occur in children. In addition, as little as 0.5% of low-grade chondrosarcomas arise secondarily from benign chondroid lesions. The presence of focal pain is often used to crudely distinguish a chondrosarcoma (which is usually managed with wide surgical excision), from a benign chondroid lesion (which can be followed by clinical exams and imaging surveillance). Given the difficulty of localizing pain in the pediatric population, initial radiology findings and short-interval follow-up, both imaging and clinical, are critical to accurately differentiate a chondrosarcoma from a benign chondroid lesion. To our knowledge, no case in the literature discusses a chondrosarcoma possibly arising secondarily from an enchondroma in a pediatric patient. We present a clinicopathologic and radiology review of conventional chondrosarcomas. We also attempt to further the understanding of how to manage a chondroid lesion in the pediatric patient with only vague or bilateral complaints of pain.
Keywords: bone tumor; chondrosarcoma; pediatric; pediatric chondrosarcoma.
Figures
 
              
              
              
              
                
                
                 
              
              
              
              
                
                
                 
              
              
              
              
                
                
                 
              
              
              
              
                
                
                 
              
              
              
              
                
                
                 
              
              
              
              
                
                
                 
              
              
              
              
                
                
                 
              
              
              
              
                
                
                 
              
              
              
              
                
                
                References
- 
    - Murphey MD, et al. From the Archives of AFIP - Imaging of Primary Chondrosarcoma: Radiologic-Pathologic Correlation. RadioGraphics. 2003;23:1245–1278. - PubMed
 
- 
    - Hameed M, Dorfman H. Pimary Malignant Bone Tumors - Recent Developments. Semin Diagn Pathol. 2011 Feb;28(1):86–101. - PubMed
 
- 
    - Soldatos T, et al. Imaging Features of Chondrosarcoma. J Comput Assist Tomogr. 2011 Jul-Aug;35(4):504–11. - PubMed
 
- 
    - Wootton-Gorges SL. MR imaging of primary bone tumors and tumor-like conditions in children. Magn Reson Imaging Clin N Am. 2009 Aug;17(3):469–87. vi. - PubMed
 
Publication types
MeSH terms
Substances
LinkOut - more resources
- Full Text Sources
- Medical
 
        