Zoonotic Onchocerca lupi infection in a 22-month-old child in Arizona: first report in the United States and a review of the literature
- PMID: 23382171
- PMCID: PMC3592550
- DOI: 10.4269/ajtmh.12-0733
Zoonotic Onchocerca lupi infection in a 22-month-old child in Arizona: first report in the United States and a review of the literature
Abstract
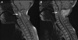
A 22-month-old girl presented with neck pain and stiffness and magnetic resonance imaging showed an extradural mass extending from C2 through the C4 level with moderate to severe compression of the cord. A left unilateral C2-C4 laminectomy was performed revealing an extradural rubbery tumor; a small biopsy was obtained. Examination of stained tissue revealed the presence of a parasitic worm that was identified as a gravid female Onchocerca lupi. A magnetic resonance imaging at 7 weeks follow-up showed a significantly decreased size of the enhancing lesion and the patient's symptoms gradually resolved. This is the first report of zoonotic O. lupi in the United States. The parasite has been reported in dogs and cats in the western United States, and from people in four cases reported from Europe. A great deal more needs to be learned, including full host range and geographic distribution, before we fully understand O. lupi infections in animals and man.
Figures




References
-
- Eberhard ML. Zoonotic filariasis. In: Guerrant RL, Walker DH, Weller PF, editors. Tropical Infectious Diseases: Principles, Pathogens, and Practices. Third edition. New York, NY: Elsevier; 2011. pp. 750–758.
-
- Azarova NS, Miretskii OI, Sonin MD. The first case of human infection by the nematode Onchocerca, Diesing, 1841 in the USSR. Medizinskaia Parazitologyi. 1965;34:156–158. - PubMed
-
- Siegenthaler R, Gubler R. Paraarticulares nematodengranulom (einheimische Onchocerca) Schweiz Med Wochenschr. 1965;95:1102–1104. - PubMed
-
- Beaver PC, Horner GS, Bilos JZ. Zoonotic onchocerciasis in a resident of Illinois and observations on the identification of Onchocerca species. Am J Trop Med Hyg. 1974;23:595–607. - PubMed
-
- Ali-Khan Z. Tissue pathology and comparative microanatomy of Onchocerca from a resident of Ontario and other Onchocerca species from Canada and USA. Ann Trop Med Parasitol. 1977;71:469–482. - PubMed
Publication types
MeSH terms
Substances
LinkOut - more resources
Full Text Sources
Other Literature Sources
Medical
Miscellaneous