Skip to main page content
U.S. flag

An official website of the United States government

Dot gov

The .gov means it’s official.
Federal government websites often end in .gov or .mil. Before sharing sensitive information, make sure you’re on a federal government site.

Https

The site is secure.
The https:// ensures that you are connecting to the official website and that any information you provide is encrypted and transmitted securely.

Access keys NCBI Homepage MyNCBI Homepage Main Content Main Navigation
Case Reports
. 2013 Feb 6:2013:bcr2012008073.
doi: 10.1136/bcr-2012-008073.

Syphilitic limbic encephalitis revealed by status epilepticus

Affiliations
Case Reports

Syphilitic limbic encephalitis revealed by status epilepticus

Ilhame Derouich et al. BMJ Case Rep. .

Abstract

Limbic encephalitis (LE) is an inflammatory disorder of the limbic system; the clinical features are diverse, characterised by the development of neuropsychiatric symptoms, its aetiologies are various; syphilis is a rare entity. We report the case of a 50-year-old-man with syphilitic LE revealed by an inaugural status epilepticus. Diagnosis was made considering clinical, biological and radiological arguments. The patient received specific treatment for neurosyphilis. Evolution was marked by improved neuropsychological symptoms, the negativity of venereal disease research laboratory test in blood and cerebrospinal fluid and regression of the mesiotemporal signal abnormalities on MRI.

PubMed Disclaimer

Figures

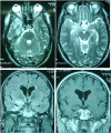
Figure 1
Figure 1
MRI axial T2 (A and B) and coronal fluid-attenuated inversion recovery image (C), showing a hippocampal lesion on hypersignal. Coronal T1 sequence with gadolinium injection (D) shows a small enhancement.

References

    1. Hiroshi F, Toshihiro I. Neurosyphilis showing transient global amnesia-like attacks and magnetic resonance imaging abnormalities mainly in the limbic system. Intern Med 2001;40:5–8 - PubMed
    1. Anderson NE, Barber PA. Limbic encephalitis—a review. J Clin Neurosci 2008;15:961–71 - PubMed
    1. Scheid R, Voltz R, Vetter T, et al. Neurosyphilis and paraneoplastic limbic encephalitis: important differential diagnoses. J Neurol 2005;252:1129–32 - PubMed
    1. Jeong YM, Hwang HY, Kim HS. MRI of neurosyphilis presenting as mesiotemporal abnormalities: a case report. Korean J Radiol 2009;10:310–12 - PMC - PubMed
    1. Patel V, Motala A, Connolly C. Neurosyphilis: a clinico-radiological study. Afr J Neurol Sci 2008;27:73–84

Publication types