Post-traumatic hematoma of the epididymis: Case-report
- PMID: 23396685
- PMCID: PMC3558063
- DOI: 10.1016/j.jus.2011.09.001
Post-traumatic hematoma of the epididymis: Case-report
Abstract
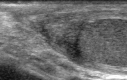
Scrotal trauma accounts for less than 1% of all trauma-related injuries. Traumatic injuries of the epididymis are extremely rare.Here we report a rare case of hematoma of the epididymis, diagnosed with US, in a 10-year-old boy after a sport injury.
SommarioI traumi scrotali rappresentano meno dell’1% di tutte le lesioni trauma-correlate e tra queste sono estremamente rare le lesioni traumatiche dell’epididimo.Presentiamo un raro caso di ematoma dell’epididimo, diagnosticato ecograficamente, in un ragazzo di 10 anni in seguito ad un trauma sportivo.
Keywords: Epididymis; Scrotal trauma; Ultrasonography (US).
Figures



References
-
- Dogra V.S., Gottlieb R.H., Oka M., Rubens D.J. Sonography of the scrotum. Radiology. 2003 Apr;227(1):18–36. - PubMed
-
- Deurdulian C., Mittelstaedt C.A., Chong W.K., Fielding J.R. US of acute scrotal trauma: optimal technique, imaging findings, and management. Radiographics. 2007 Mar–Apr;27(2):357–369. - PubMed
-
- Wittenberg A.F., Tobias T., Rzeszotarski M., Minotti A.J. Sonography of the acute scrotum: the four T’s of testicular imaging. Curr Probl Diagn Radiol. 2006 Jan–Feb;35(1):12–21. - PubMed
-
- Dudea S.M., Ciurea A., Chiorean A., Botar-Jid C. Doppler applications in testicular and scrotal disease. Med Ultrason. 2010 Mar;12(1):43–51. - PubMed
-
- Bhatt S., Dogra V.S. Role of US in testicular and scrotal trauma. Radiographics. 2008 Oct;28(6):1617–1629. - PubMed
LinkOut - more resources
Full Text Sources