Testicular ischemia after inguinal hernia repair
- PMID: 23396995
- PMCID: PMC3558245
- DOI: 10.1016/j.jus.2011.10.004
Testicular ischemia after inguinal hernia repair
Abstract
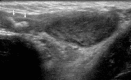
Testicular ischemia is a rare complication of inguinal hernia repair. It results from the injury to the vessels that course along the inguinal canal. Typically it is painful at the beginning and asymptomatic later. Ultrasonographic appearance and aspects of testicular ischemia result in diffusely hypoechoic and disomogeneous testis, with complete lack of intratesticular vascular signal on color-Doppler and cremasteric vessels hypertrophy in chronic cases.This report describes a testicular ischemia seen in a patient referred to because of hernia recurrence, without any sign or symptom of acute scrotum. Ultrasound examination showed the most frequent complications after inguinal hernia repair: both hernia recurrence and testicular ischemia.
SommarioL'ischemia testicolare è una delle rare complicanze dell'intervento chirurgico di ernioplastica inguinale. É dovuta a compromissione della vascolarizzazione dei vasi che decorrono nel canale inguinale e si manifesta con dolore, per poi diventare asintomatica. Ecograficamente il testicolo appare ipoecogeno, con struttura modicamente disomogenea e assenza di vascolarizzazione alla valutazione color Doppler; nei casi cronici può essere presente ipertrofia dei vasi cremasterici.Viene presentato un caso di ischemia testicolare post-intervento chirurgico di ernioplastica, in paziente giunto alla nostra osservazione nel sospetto di recidiva d'ernia, senza sintomi di scroto acuto. L'esame ecografico ha mostrato la presenza di entrambe le complicanze post-intervento più frequenti: recidiva d'ernia ed ischemia testicolare.
Keywords: Color-Doppler; Inguinal hernia repair; Testicular ischemia; Ultrasonography.
Figures


References
-
- Martinoli C., Pastorino C., Bertolotto M., Rosenberg I., Cittadini G., Garlaschi G. Color-Doppler echography of the testis. Study technique and vascular anatomy. Radiol Med. 1992;84:785–791. - PubMed
-
- Dudea S.M., Ciurea A., Chiorean A., Botar-Jid C. Doppler applications in testicular and scrotal disease. Med Ultrason. 2010;12:43–51. - PubMed
-
- Meier A.H., Ricketts R.R. Surgical complications of inguinal and abdominal wall hernias. Semin Pediatr Surg. 2003;12:83–88. - PubMed
-
- Ridgway P.F., Shah J., Darzi A.W. Male genital tract injuries after contemporary inguinal hernia repair. BJU Int. 2002;90:272–276. - PubMed
LinkOut - more resources
Full Text Sources