Fecal impaction: a cause for concern?
- PMID: 23449376
- PMCID: PMC3348734
- DOI: 10.1055/s-0032-1301760
Fecal impaction: a cause for concern?
Abstract
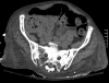
Fecal impaction (FI) is a common cause of lower gastrointestinal tract obstruction lagging behind stricture for diverticulitis and colon cancer. It is the result of chronic or severe constipation and most commonly found in the elderly population. Early recognition and diagnosis is accomplished by way of an adequate history and physical examination in conjunction with an acute abdominal series. Prompt identification and treatment minimizes the risks of complications such as bowel obstruction leading to aspiration, stercoral ulcers, perforation, and peritonitis. Treatment options include gentle proximal softening in the absence of complete bowel obstruction, distal washout, and manual extraction. Surgical resection of the involved colon or rectum is reserved for cases of FI complicated by ulceration and perforation leading to peritonitis. Recurrence is common, and can be managed by increasing dietary fiber content to 30 gm/day, increased water intake, and discontinuation of medications that can contribute to colonic hypomotility.
Keywords: constipation; fecal impaction; inspissated stool syndrome; stercoral perforation.
Figures



References
-
- Tobias N, Mason D, Lutkenhoff M, Stoops M, Ferguson D. Management principles of organic causes of childhood constipation. J Pediatr Health Care. 2008;22(1):12–23. - PubMed
-
- Wald A. Management and prevention of fecal impaction. Curr Gastroenterol Rep. 2008;10(5):499–501. - PubMed
-
- Tracey J. Fecal impaction: not always a benign condition. J Clin Gastroenterol. 2000;30(3):228–229. - PubMed
-
- De Lillo A R, Rose S. Functional bowel disorders in the geriatric patient: constipation, fecal impaction, and fecal incontinence. Am J Gastroenterol. 2000;95(4):901–905. - PubMed