Colo-colic intussusception secondary to lipomatous polyp in an adult
- PMID: 23462651
- PMCID: PMC3618761
- DOI: 10.1136/bcr-2012-008037
Colo-colic intussusception secondary to lipomatous polyp in an adult
Abstract
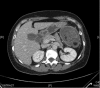
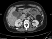
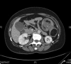
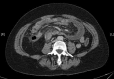
A woman in her early 50s presented with a 2-week history of gradually worsening colicky abdominal pain with associated vomiting, loose stools and reduced appetite. There was no malaena or perrectal bleeding. On examination, there was tenderness in the epigastric region with an associated palpable fullness. Subsequent imaging revealed a substantial colo-colic intussusception with the lead point being a lipoma of the ascending colon. Subsequent colonic resection was undertaken with histology confirming a lipomatous polyp.
Figures





References
-
- Perlstein D. Intussusception. http://www.medicinenet.com/intussusception/article.htm
-
- Blanco F. Intussusception. (updated 29 May 2012) http://emedicine.medscape.com/article/930708-overview
-
- Gayer G, Zissin R, Apter S, et al. Pictorial review: adult intussusception--a CT diagnosis. Br J Radiol 2002;75:185–90 - PubMed
Publication types
MeSH terms
LinkOut - more resources
Full Text Sources
Other Literature Sources
Medical