Ischemic bilateral opercular syndrome
- PMID: 23476665
- PMCID: PMC3588394
- DOI: 10.1155/2013/513572
Ischemic bilateral opercular syndrome
Abstract
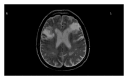
Opercular syndrome, also known as Foix-Chavany-Marie syndrome, is a paralysis of the facial, pharyngeal, masticatory, tongue, laryngeal, and brachial muscles. It is a rare cortical form of pseudobulbar palsies caused by vascular insults to bilateral operculum. Its clinical presentations include anarthria, weakness of voluntary muscles involving face, tongue, pharynx, larynx, and masticatory muscles. However, autonomic reflexes and emotional activities of these structures are preserved. In the present case, an 81-year-old male presented with acute onset of anarthria with difficulties in chewing, speaking, and swallowing that was diagnosed with opercular syndrome.
Figures


References
-
- Ann MY, Liu OK, Wu YL. Foix-chavany-marie syndrome. Chinese Medical Journal. 2001;64(9):540–544. - PubMed
-
- Foix C, Chavany JA, Marie J. Diplegie facio-linguo-masticatrice d'origine cortico-sous-cortical sans paralysie des members. Revue Neurologique. 1926;33:214–219.
-
- Magnus A. Fall von aufhebung des willenseinflusses auf einige hirnnerven. Archiv für Anatomie, Physiologie und Wissenschaftliche Medicin. 1837:258–266.
-
- Weller M. Anterior opercular cortex lesions cause dissociated lower cranial nerve palsies and anarthria but no aphasia: foix-chavany-marie syndrome and “automatic voluntary dissociation” revisited. Journal of Neurology. 1993;240:199–208. - PubMed
-
- Mao CC, Coull BM, Golper LAC, Rau MT. Anterior operculum syndrome. Neurology. 1989;39(9):1169–1172. - PubMed
LinkOut - more resources
Full Text Sources
Other Literature Sources