Management of rectal foreign bodies
- PMID: 23497492
- PMCID: PMC3601006
- DOI: 10.1186/1749-7922-8-11
Management of rectal foreign bodies
Abstract
Background: Entrapped anorectal foreign bodies are being encountered more frequently in clinical practice. Although entrapped foreign bodies are most often related to sexual behavior, they can also result from ingestion or sexual assault.
Methods: Between 1999 and 2009, 15 patients with foreign bodies in the rectum were diagnosed and treated, at Izmir Training and Research Hospital, in Izmir. Information regarding the foreign body, clinical presentation, treatment strategies, and outcomes were documented. We retrospectively reviewed the medical records of these unusual patients.
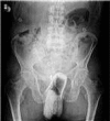
Results: All patients were males, and their mean age was 48 years (range, 33-68 years). The objects in the rectum of these 15 patients were an impulse body spray can (4 patients), a bottle (4 patients), a dildo (2 patient), an eggplant (1 patient), a brush (1 patient), a tea glass (1 patient), a ball point pen (1 patient) and a wishbone (1 patient, after oral ingestion). Twelve objects were removed transanally by anal dilatation under general anesthesia. Three patients required laparotomy. Routine rectosigmoidoscopic examination was performed after removal. One patient had perforation of the rectosigmoid and 4 had lacerations of the mucosa. None of the patients died.
Conclusions: Foreign bodies in the rectum should be managed in a well-organized manner. The diagnosis is confirmed by plain abdominal radiographs and rectal examination. Manual extraction without anaesthesia is only possible for very low-lying objects. Patients with high- lying foreign bodies generally require general anaesthesia to achieve complete relaxation of the anal sphincters to facilitate extraction. Open surgery should be reserved only for patients with perforation, peritonitis, or impaction of the foreign body.
Figures
References
LinkOut - more resources
Full Text Sources
Other Literature Sources
