Diaphragm and ventilatory dysfunction during cancer cachexia
- PMID: 23515443
- PMCID: PMC3688752
- DOI: 10.1096/fj.12-222844
Diaphragm and ventilatory dysfunction during cancer cachexia
Abstract
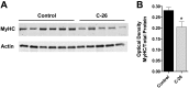
Cancer cachexia is characterized by a continuous loss of locomotor skeletal muscle mass, which causes profound muscle weakness. If this atrophy and weakness also occurs in diaphragm muscle, it could lead to respiratory failure, which is a major cause of death in patients with cancer. Thus, the purpose of the current study was to determine whether colon-26 (C-26) cancer cachexia causes diaphragm muscle fiber atrophy and weakness and compromises ventilation. All diaphragm muscle fiber types were significantly atrophied in C-26 mice compared to controls, and the atrophy-related genes, atrogin-1 and MuRF1, significantly increased. Maximum isometric specific force of diaphragm strips, absolute maximal calcium activated force, and maximal specific calcium-activated force of permeabilized diaphragm fibers were all significantly decreased in C-26 mice compared to controls. Further, isotonic contractile properties of the diaphragm were affected to an even greater extent than isometric function. Ventilation measurements demonstrated that C-26 mice have a significantly lower tidal volume compared to controls under basal conditions and, unlike control mice, an inability to increase breathing frequency, tidal volume, and, thus, minute ventilation in response to a respiratory challenge. These data demonstrate that C-26 cancer cachexia causes profound respiratory muscle atrophy and weakness and ventilatory dysfunction.
Keywords: C-26; limb muscle; muscle function; respiratory muscles; single fiber.
Figures





References
-
- Evans W. J., Morley J. E., Argiles J., Bales C., Baracos V., Guttridge D., Jatoi A., Kalantar-Zadeh K., Lochs H., Mantovani G., Marks D., Mitch W. E., Muscaritoli M., Najand A., Ponikowski P., Rossi Fanelli F., Schambelan M., Schols A., Schuster M., Thomas D., Wolfe R., Anker S. D. (2008) Cachexia: a new definition. Clin. Nutr. 27, 793–799 - PubMed
-
- Fearon K. C. (2008) Cancer cachexia: developing multimodal therapy for a multidimensional problem. Eur. J. Cancer. 44, 1124–1132 - PubMed
-
- Fouladiun M., Korner U., Gunnebo L., Sixt-Ammilon P., Bosaeus I., Lundholm K. (2007) Daily physical-rest activities in relation to nutritional state, metabolism, and quality of life in cancer patients with progressive cachexia. Clin. Cancer Res. 13, 6379–6385 - PubMed
-
- Cai D., Frantz J. D., Tawa N. E., Jr., Melendez P. A., Oh B. C., Lidov H. G., Hasselgren P. O., Frontera W. R., Lee J., Glass D. J., Shoelson S. E. (2004) IKKβ/NF-κB activation causes severe muscle wasting in mice. Cell 119, 285–298 - PubMed
-
- Zhou X., Wang J. L., Lu J., Song Y., Kwak K. S., Jiao Q., Rosenfeld R., Chen Q., Boone T., Simonet W. S., Lacey D. L., Goldberg A. L., Han H. Q. (2010) Reversal of cancer cachexia and muscle wasting by ActRIIB antagonism leads to prolonged survival. Cell 142, 531–543 - PubMed
Publication types
MeSH terms
Substances
Grants and funding
LinkOut - more resources
Full Text Sources
Other Literature Sources
Medical