Skip to main page content
U.S. flag

An official website of the United States government

Dot gov

The .gov means it’s official.
Federal government websites often end in .gov or .mil. Before sharing sensitive information, make sure you’re on a federal government site.

Https

The site is secure.
The https:// ensures that you are connecting to the official website and that any information you provide is encrypted and transmitted securely.

Access keys NCBI Homepage MyNCBI Homepage Main Content Main Navigation
Case Reports
. 2013 Mar 25:2013:bcr2012007855.
doi: 10.1136/bcr-2012-007855.

Ruptured sinus of Valsalva aneurysm from left coronary sinus into right atrium: a rare anomaly with an odd presentation

Affiliations
Case Reports

Ruptured sinus of Valsalva aneurysm from left coronary sinus into right atrium: a rare anomaly with an odd presentation

Ramalingam Vadivelu et al. BMJ Case Rep. .

Abstract

We report a case of a 42-year-old man presenting with shortness of breath and palpitation on exertion, who was evaluated to have left sinus of Valsalva aneurysm rupturing into right atrium. This is a very rare congenital cardiac anomaly with variable clinical presentation ranging from asymptomatic detection on imaging to acute coronary syndrome and sudden cardiac death. Rupture is the most dreaded complication and usually manifests as an acute event. Aneurysmal dilation less commonly affects the left sinus and rupture into the right atrium is still rarer and a chronic insidious presentation as in this case is odd.

PubMed Disclaimer

Figures

Figure 1
Figure 1
Transesophageal echocardiography showing sinus of Valsalva aneurysm from left coronary sinus rupturing into right atrium. LA, left atrium; RA, right atrium; LSVA, left sinus of Valsalva aneurysm rupturing into right atrium.
Figure 2
Figure 2
Colour Doppler imaging showing ruptured sinus of Valsalva aneurysm from left coronary sinus opening into right atrium. LA, left atrium; RA, right atrium; LSVA, left sinus of Valsalva aneurysm rupturing into right atrium.
Figure 3
Figure 3
Angiographic picture showing left sinus of Valsalva aneurysm rupturing into right atrium. 1, Left coronary sinus aneurysm; 2, fistulous tract between aneurysmal sac and right atrium; 3, ruptured sinus of Valsalva aneurysm opening into right atrium; 4, right coronary artery.
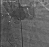
Figure 4
Figure 4
Left main coronary artery arising from the aneurysmal sac. 1, Left main coronary artery; 2, left coronary sinus aneurysm.

References

    1. Wells T, Byrd B, Neirste D, et al. Sinus of Valsalva aneurysm with rupture into the interventricular septum and left ventricular cavity. Circulation 1999;100:1843. - PubMed
    1. Dong C, Wu QY, Tang Y. Ruptured sinus of Valsalva aneurysm: a Beijing experience. Ann Thorac Surg 2002;74:1621–4 - PubMed
    1. Moustafa S, Mookadam F, Cooper L, et al. Sinus of Valsalva aneurysms—47 years of a single center experience and systematic overview of published reports. Am J Cardiol 2007;99:1159–64 - PubMed
    1. Sakakibara S, Konno S. Congenital aneurysm of the sinus of Valsalva associated with ventricular septal defect: anatomical aspects. Am Heart J 1968;75:595–603 - PubMed
    1. Viktorsson TV, Arnorsson T, Sigurdsson MI, et al. A giant unruptured aneurysm of the sinus of Valsalva together with ectasia of the left coronary artery. Ann Thorac Surg 92:354–6 - PubMed

Publication types