Prosthetic valve endocarditis and bloodstream infection due to Mycobacterium chimaera
- PMID: 23536407
- PMCID: PMC3716099
- DOI: 10.1128/JCM.00435-13
Prosthetic valve endocarditis and bloodstream infection due to Mycobacterium chimaera
Abstract
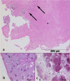
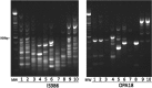
Prosthetic valve endocarditis (PVE) due to fast-growing nontuberculous mycobacteria (NTM) has been reported anecdotally. Reports of PVE with slowly growing NTM, however, are lacking. We present here one case of PVE and one case of bloodstream infection caused by Mycobacterium chimaera. Randomly amplified polymorphic DNA (RAPD)-PCR indicated a relatedness of the two M. chimaera strains. Both patients had heart surgery 2 years apart from each other. A nosocomial link was not detected.
Figures


References
-
- Bush LM, Paturi A, Chaparro-Rojas F, Perez MT. 2010. Mycobacterial prosthetic valve endocarditis. Curr. Infect. Dis. Rep. 12:257–265 - PubMed
-
- Giladi M, Szold O, Elami A, Bruckner D, Johnson BL., Jr 1997. Microbiological cultures of heart valves and valve tags are not valuable for patients without infective endocarditis who are undergoing valve replacement. Clin. Infect. Dis. 24:884–888 - PubMed
-
- Tortoli E, Rindi L, Garcia MJ, Chiaradonna P, Dei R, Garzelli C, Kroppenstedt RM, Lari N, Mattei R, Mariottini A, Mazzarelli G, Murcia MI, Nanetti A, Piccoli P, Scarparo C. 2004. Proposal to elevate the genetic variant MAC-A, included in the Mycobacterium avium complex, to species rank as Mycobacterium chimaera sp. nov. Int. J. Syst. Evol. Microbiol. 54:1277–1285 - PubMed
-
- National Committee for Clinical Laboratory Standards 2003. Susceptibility testing of mycobacteria, nocardia, and other aerobic actinomycetes. Approved standard M24-A. National Committee for Clinical Laboratory Standards, Wayne, PA - PubMed
-
- Lucke K, Hombach M, Friedel U, Ritter C, Bottger EC. 2012. Automated quantitative drug susceptibility testing of non-tuberculous mycobacteria using MGIT 960/EpiCenter TB eXiST. J. Antimicrob. Chemother. 67:154–158 - PubMed
Publication types
MeSH terms
Substances
LinkOut - more resources
Full Text Sources
Other Literature Sources
Medical