Pathobiology and transmission of highly and low pathogenic avian influenza viruses in European quail (Coturnix c. coturnix)
- PMID: 23537387
- PMCID: PMC3640924
- DOI: 10.1186/1297-9716-44-23
Pathobiology and transmission of highly and low pathogenic avian influenza viruses in European quail (Coturnix c. coturnix)
Abstract
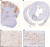
European quail (Coturnix c. coturnix) may share with Japanese quail (Coturnix c. japonica) its potential as an intermediate host and reservoir of avian influenza viruses (AIV). To elucidate this question, European quail were experimentally challenged with two highly pathogenic AIV (HPAIV) (H7N1/HP and H5N1/HP) and one low pathogenic AIV (LPAIV) (H7N2/LP). Contact animals were also used to assess the viral transmission among birds. Severe neurological signs and mortality rates of 67% (H7N1/HP) and 92% (H5N1/HP) were observed. Although histopathological findings were present in both HPAIV-infected groups, H5N1/HP-quail displayed a broader viral antigen distribution and extent of microscopic lesions. Neither clinical nor pathological involvement was observed in LPAIV-infected quail. Consistent long-term viral shedding and effective transmission to naive quail was demonstrated for the three studied AIV. Drinking water arose as a possible transmission route and feathers as a potential origin of HPAIV dissemination. The present study demonstrates that European quail may play a major role in AI epidemiology, highlighting the need to further understand its putative role as an intermediate host for avian/mammalian reassortant viruses.
Figures



References
-
- Bertran K, Perez-Ramirez E, Busquets N, Dolz R, Ramis A, Darji A, Abad FX, Valle R, Chaves A, Vergara-Alert J, Barral M, Hofle U, Majo N. Pathogenesis and transmissibility of highly (H7N1) and low (H7N9) pathogenic avian influenza virus infection in red-legged partridge (Alectoris rufa) Vet Res. 2011;42:24. doi: 10.1186/1297-9716-42-24. - DOI - PMC - PubMed
Publication types
MeSH terms
LinkOut - more resources
Full Text Sources
Other Literature Sources
Medical
Research Materials
Miscellaneous