Genetically confirmed Wilson disease in a 9-month old boy with elevations of aminotransferases
- PMID: 23556051
- PMCID: PMC3612577
- DOI: 10.4254/wjh.v5.i3.156
Genetically confirmed Wilson disease in a 9-month old boy with elevations of aminotransferases
Abstract
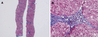
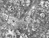
Wilson disease (WD) is an autosomal recessive disorder of copper transport caused by alteration of the adenosine triphosphatase 7B gene. It is rare to diagnose WD below the age of three years. Molecular genetic testing is one of the most important diagnostic methods and may confirm the diagnosis in equivocal cases. We report a case of a 9-mo old boy with WD who presented as chronic hepatitis. Genetic analysis showed compound heterozygotes of p.G1186S and c.4006delA.
Keywords: Early diagnosis; Hepatolenticular degeneration; Molecular genetics; Mutation; Wilson disease.
Figures




References
-
- Ala A, Walker AP, Ashkan K, Dooley JS, Schilsky ML. Wilson’s disease. Lancet. 2007;369:397–408. - PubMed
-
- Seo JK. Wilson disease: an update. Korean J Hepatol. 2006;12:333–363. - PubMed
-
- Iorio R, D’Ambrosi M, Mazzarella G, Varrella F, Vecchione R, Vegnente A. Early occurrence of hypertransaminasemia in a 13-month-old child with Wilson disease. J Pediatr Gastroenterol Nutr. 2003;36:637–638. - PubMed
-
- Beyersdorff A, Findeisen A. Morbus Wilson: Case report of a two-year-old child as first manifestation. Scand J Gastroenterol. 2006;41:496–497. - PubMed
-
- Shimizu N, Nakazono H, Takeshita Y, Ikeda C, Fujii H, Watanabe A, Yamaguchi Y, Hemmi H, Shimatake H, Aoki T. Molecular analysis and diagnosis in Japanese patients with Wilson’s disease. Pediatr Int. 1999;41:409–413. - PubMed
LinkOut - more resources
Full Text Sources
Other Literature Sources