Elevated sputum interleukin-5 and submucosal eosinophilia in obese individuals with severe asthma
- PMID: 23590263
- PMCID: PMC3826183
- DOI: 10.1164/rccm.201208-1470OC
Elevated sputum interleukin-5 and submucosal eosinophilia in obese individuals with severe asthma
Abstract
Rationale: The relationship between airway inflammation and obesity in severe asthma is poorly understood.
Objectives: We sought to determine the relationship between sputum mediator profiles and the distribution of eosinophilic inflammation and obesity in people with severe asthma.
Methods: Clinical parameters and eight mediators in sputum were assessed in 131 subjects with severe asthma from a single center categorized into lean, overweight, and obese groups defined by their body mass index. In an independent group of people with severe asthma (n = 45) and healthy control subjects (n = 19) eosinophilic inflammation was enumerated in bronchial submucosa, blood, and sputum and related to their body mass index.
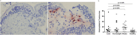
Measurements and main results: Sputum IL-5 geometric mean (95% confidence interval) (pg/ml) was elevated in the obese (1.8 [1.2-2.6]) compared with overweight (1.1 [0.8-1.3]; P = 0.025) and lean (0.9 [0.6-1.2]; P = 0.018) subjects with asthma and was correlated with body mass index (r = 0.29; P < 0.001). There was no relationship among body mass index, the sputum cell count, or other sputum mediators. In the bronchoscopy group the submucosal eosinophil number in the subjects with asthma was correlated with body mass index (Spearman rank correlation, rs = 0.38; P = 0.013) and the median (interquartile range) number of submucosal eosinophils was increased in obese (19.4 [11.8-31.2]) (cells per square millimeter) versus lean subjects (8.2 [5.4-14.6]) (P = 0.006). There was no significant association between sputum or peripheral blood eosinophil counts and body mass index.
Conclusions: Sputum IL-5 and submucosal eosinophils, but not sputum eosinophils, are elevated in obese people with severe asthma. Whether specific antieosinophilic therapy is beneficial, or improved diet and lifestyle in obese asthma has antiinflammatory effects beyond weight reduction, requires further study.
Figures




Comment in
-
Type 2 immune responses in obese individuals with asthma.Am J Respir Crit Care Med. 2013 Sep 15;188(6):633-4. doi: 10.1164/rccm.201307-1360ED. Am J Respir Crit Care Med. 2013. PMID: 24032378 No abstract available.
-
Role of primary necrosis/lysis of submucosal eosinophils in obese individuals with asthma.Am J Respir Crit Care Med. 2013 Dec 15;188(12):1468. doi: 10.1164/rccm.201304-0799LE. Am J Respir Crit Care Med. 2013. PMID: 24328775 No abstract available.
-
Reply: Role of primary necrosis/lysis of submucosal eosinophils in obese individuals with asthma.Am J Respir Crit Care Med. 2013 Dec 15;188(12):1468-9. doi: 10.1164/rccm.201305-0996LE. Am J Respir Crit Care Med. 2013. PMID: 24328776 No abstract available.
-
Eosinophilic inflammation in subjects with mild-to-moderate asthma with and without obesity: disparity between sputum and biopsies.Am J Respir Crit Care Med. 2014 May 15;189(10):1281-4. doi: 10.1164/rccm.201310-1841LE. Am J Respir Crit Care Med. 2014. PMID: 24832748 No abstract available.
-
Obese individuals with asthma preferentially have a high IL-5/IL-17A/IL-25 sputum inflammatory pattern.Am J Respir Crit Care Med. 2014 May 15;189(10):1284-5. doi: 10.1164/rccm.201311-2011LE. Am J Respir Crit Care Med. 2014. PMID: 24832749 No abstract available.
-
Reply: Elevated sputum IL-5 and submucosal eosinophilia in obese individuals with severe asthma.Am J Respir Crit Care Med. 2014 May 15;189(10):1285-6. doi: 10.1164/rccm.201402-0294LE. Am J Respir Crit Care Med. 2014. PMID: 24832750 No abstract available.
-
Association of abdominal visceral adiposity with sputum IL-5 levels in asthma.Allergol Int. 2022 Jan;71(1):137-139. doi: 10.1016/j.alit.2021.08.003. Epub 2021 Sep 15. Allergol Int. 2022. PMID: 34535401 No abstract available.
References
-
- British Thoracic Society/Scottish Intercollegiate Guidelines NetworkAsthma guidelines [accessed 2012 Dec 27]. Available from: www.brit-thoracic.org.uk/guidelines/asthma-guidelines.aspx
-
- Global Initiative for Asthma Guidelines [accessed 2012 Dec 27]. Available from: www.ginasthma.org/Guidelines/guidelines-resources.html
-
- Chanez P, Wenzel SE, Anderson GP, Anto JM, Bel EH, Boulet LP, Brightling CE, Busse WW, Castro M, Dahlen B, et al. Severe asthma in adults: what are the important questions? J Allergy Clin Immunol. 2007;119:1337–1348. - PubMed
-
- American Thoracic Society. Proceedings of the ATS workshop on refractory asthma: current understanding, recommendations, and unanswered questions. Am J Respir Crit Care Med. 2000;162:2341–2351. - PubMed
-
- Bousquet J, Mantzouranis E, Cruz AA, Aït-Khaled N, Baena-Cagnani CE, Bleecker ER, Brightling CE, Burney P, Bush A, Busse WW, et al. Uniform definition of asthma severity, control, and exacerbations: document presented for the World Health Organization Consultation on Severe Asthma. J Allergy Clin Immunol. 2010;126:926–938. - PubMed
Publication types
MeSH terms
Substances
Grants and funding
LinkOut - more resources
Full Text Sources
Other Literature Sources
Medical